Заболевания внутренних органов и зубная боль
Определить точную причину боли можно только в ходе обследования — стоматологического или комплексного. Однако опытные врачи знают о взаимосвязи между болезненными или дискомфортными ощущениями во рту и патологиями внутренних органов. При локализации боли в той или иной части челюсти у врача могут возникнуть подозрения на определенные заболевания почек, селезенки, желудка и пр. Конечно, одного симптома недостаточно для постановки диагноза, зато может появиться повод для дополнительного обследования.

Зубные боли и изменения во внутренних органах могут коррелироваться следующим образом:
- Болезни дыхательных путей (воспаление легких, полипы, бронхит) и нарушения работы кишечника отдают резями в области премоляров.
- Патологии мочеполовой системы иногда сопровождаются болью в передних зубах — резцах.
- Сбои в работе селезенки, желудка или выделительной системы передаются молярам.
- Сердечно-сосудистая система тесно связано с «восьмерками» — зубами мудрости.
- Если без явных причин болит клык, стоит проверить желчевыводящие пути.
- При образовании зубного камня можно обследоваться на заболевания эндокринной системы.
Многие люди при возникновении зубной или иной боли сразу принимают обезболивающие таблетки. Сегодня выпускаются достаточно сильные препараты, которые могут избавить почти от любой боли, однако они только устраняют симптом. Само заболевание и его причины вылечить с помощью анальгетиков невозможно. Если не установить этиологию зубной боли, оно будет прогрессировать дальше. В итоге повышается риск развития осложнений. Если у Вас болит зуб, появляются другие неприятные симптомы в ротовой полости, сразу же запишитесь на прием к стоматологу.
Что нужно знать о боли в копчике у ребенка
Прежде чем говорить о болях в копчике, нужно разобрать, что это такое и где он расположен в организме человека. Итак, копчик – это небольшая кость, которая завершает позвоночник. Копчик соединен с крестцом при помощи малоподвижного сустава. Можно сказать, что копчик является некоторым напоминанием о хвосте, который много тысяч лет назад имелся и у человека тоже. Боль в копчике чаще всего нельзя назвать самостоятельным заболеванием. Это только симптом, который может иметь различную природу. Также нужно сказать о том, что в некоторых ситуациях боль, возникающая в нижней части позвоночника, не имеет ничего общего с копчиком. Она может быть локализована рядом с ним и отдавать в копчик. Тем более если речь идет о ребенке, ведь он не всегда может точно определить, где именно у него болит.
Основные причины
Когда у ребенка болит копчик, в первую очередь важно разобраться в причинах возникновения боли – только после этого можно будет понять, что делать.
Повреждение копчика вследствие травмирования
Активные детские игры, бег, прыжки, катание на коньках или роликах, а также другие развлечения или занятия спортом – это не только весело, но еще и травмоопасно
Неосторожное движение – и падение, последствия которого могут быть непредсказуемыми. Наиболее часто ребенок травмирует копчик, с последующими болями, в возрасте 10–12 лет
В качестве основного вида травмы копчика можно рассмотреть ушиб. При этом удар может приходиться как на сам копчик, так и на мягкие или костные ткани, окружающие его. Ушибы копчика часто встречаются в спорте, когда спортсмены (в частности, маленькие, начинающие) падают с высоты собственного роста. Копчик может быть затронут и при ударе сбоку. В этом случае есть риск смещения позвонков, вследствие которого и копчик может также сместиться. Более серьезный случай – перелом копчика. Такая ситуация может возникнуть при ДТП, падении с большой высоты. К травматическим повреждениям копчика можно отнести его вывих или подвывих, разрыв крестцово-копчиковых связок. Если ребенок ударился копчиком и у него болит в этой области, необходимо сразу обращаться в травмпункт, поликлинику или частную клинику для скорейшего определения тяжести травмы, исключения или подтверждения перелома.
Наличие воспалительных процессов в организме ребенка
Сложнее разобраться, почему у ребенка болит в области копчика, если он не ударился и не получал никаких травм. В таких случаях можно подозревать наличие каких-либо воспалительных заболеваний органов малого таза и прилегающей области. Болит не сам копчик – боль просто иррадиирует (отдает) в копчик. В большей степени эта проблема касается девочек. К воспалительным заболеваниям, вызывающим боль в копчике, относят:
- Сальпингит, то есть воспаление маточной трубы, которое впоследствии может привести к ее заращению. Это серьезное заболевание, возникающее у девочек в детстве или в период полового созревания, может спровоцировать в дальнейшем бесплодие.
- Гидросальпинкс – следствие сальпингита. При заращении маточной части трубы в ней начинает скапливаться жидкость, самостоятельный выход которой невозможен.
- Пиосальпинкс – нагноение в маточной трубе при сальпингите. В связи с тем что большинство воспалительных заболеваний, провоцирующих боль в копчике, связаны с половыми органами, родителям стоит показать дочь детскому гинекологу.
Заболевания позвоночника
Проблемы с позвоночником также распространенная причина боли в копчике. Это может быть смещение позвонков, сколиоз, межпозвоночная грыжа, врожденная аномалия развития позвоночника. Травмы любого из сегментов позвоночника тоже могут отражаться болью в копчике.
Болезни желудочно-кишечного тракта
Не исключено, что копчик у ребенка может болеть из-за проблем с желудочно-кишечным трактом. Довольно часто различные простудные, вирусные заболевания у детей лечат при помощи антибиотиков. Эффект от их приема довольно скорый, но есть и обратная сторона медали – сбои в работе кишечника, дисбактериоз, запор, диарея, тошнота и другие проблемы, напрямую связанные с работой ЖКТ. Сбои в пищеварительной системе отражаются на здоровье органов малого таза. На фоне кишечных инфекций могут развиваться такие патологии как цистит, аднексит и др. Все эти заболевания способны вызывать боли в копчиковом отделе и внизу живота.
Трещины заднего прохода у детей
У некоторых детей в слизистой оболочке заднего прохода образуются трещины.
Причины возникновения трещины заднего прохода у детей. Наиболее частой причиной образования трещин в заднем проходе являются запоры; ребенок подолгу сидит на горшке, каловые массы слишком плотные и при отхождении растягивают и травмируют слизистую оболочку заднего прохода.
Симптомы и клинические проявления. Образовавшаяся трещина в той или иной степени болезненна. Во время дефекации, когда слизистая оболочка заднего прохода растягивается, боль резко нарастает. Может иметь место незначительное кровотечение из трещины. Боль в иных случаях бывает столь сильной, что ребенок кричит. Некоторые дети, не желая, чтобы боль повторялась, не хотят ходить на горшок. Если трещина инфицируется, в области анального отверстия развивается воспаление тканей.
Лечение трещин заднего прохода у ребенка. Никакое лечение не даст устойчивого положительного результата, если не будет устранена основная причина заболевания — запоры (см. Запоры у маленьких детей ). Мама должна тщательнее подмывать ребенка всякий раз после отхождения стула
Если у ребенка есть тенденция к образованию трещин в заднем проходе, рекомендуется один-два раза в день после подмывания ребенка смазывать ему края анального отверстия детским кремом; жирная основа крема сделает слизистую оболочку более эластичной и, следовательно, менее подверженной растрескиванию; важно и то обстоятельство, что детский крем обладает некоторым противовоспалительным действием, и, таким образом, использование детского крема является мерой предупреждения осложнений воспалительного характера. Смазывать слизистую заднего прохода можно и вазелиновым маслом
Возможно, какую-нибудь противовоспалительную мазь выпишет врач после осмотра ребенка.
Народные средства при трещинах в заднем проходе рекомендуют:
— включать в пищевой рацион побольше овощей и фруктов, а также ягод; грубая клетчатка, которая содержится в этих продуктах, не переваривается; с одной стороны, она является наполнителем каловых масс, а с другой стороны, раздражая стенки кишечника, вызывает рефлекторное выделение жидкости, возникает послабляющий эффект; если в меню у ребенка пребывает в достаточном количестве растительная пища, то стул у него всегда будет кашицеобразный;
— при подмываниях ребенка использовать настой цветков ромашки аптечной. или настой цветков календулы, или настой листьев шалфея; все эти настои приготавливаются следующим образом: одну столовую ложку сухого сырья залить стаканом крутого кипятка и настаивать, хорошо укутав, до получаса, процедить; перечисленные настои обладают выраженным противовоспалительным действием;
— настои цветков ромашки, календулы листьев шалфея, эвкалипта можно использовать и следующим образом: при трещинах в заднем проходе делать с ними микроклизму — после тщательного подмывания ребенка вводить несколько миллилитров настоя в прямую кишку (ребенок должен постараться удержать введенный объем в себе); делать так один-два раза в день;
— смазывать слизистую оболочку заднего прохода ромашковым маслом; приготовить такое масло несложно: сухие цветки ромашки аптечной истолочь в ступке в мелкодисперсный порошок, затем этот порошок смешать с любым из растительных масел в произвольной пропорции; например, в пропорции 1:3 (где одна часть порошка и три части растительного масла); масло следует два-три раза довести до кипения, остудить, дать отстояться и осторожно слить с осадка; масло готово к использованию; можно и не доводить масло до кипения, но тогда следует дать лекарству настояться (не менее суток при периодическом помешивании);
— смазывать слизистую оболочку заднего прохода зверобойным маслом, календуловым маслом (приготовление такое же, как у ромашкового масла);
— в качестве профилактики воспалительных осложнений смазывать ребенку слизистую оболочку заднего прохода прополисным маслом; приготовление масла: твердый прополис и любое растительное масло взять в соотношении 1:2, или 1:3, или 1:4; прополис измельчить с помощью ножа, смешать с маслом и поместить на водяную баню или в духовку, нагревать в течение 40-45 минут при периодическом помешивании; при этом полезные вещества прополиса экстрагируются в масло, а воск осядет на дно посуды; масло обретет более темный цвет; по приготовлении масло надо остудить осторожно слить с осадка; хранить можно долго
А если с витамином D и кальцием всё в порядке. От чего ещё можно возникать боль в суставах у детей?
У детей от года до четырёх причиной болей может быть артрит. Он истощает хрящи и сужает пространство между суставами. Артрит часто проявляет себя через хромоту, скованные движения, вялость и покраснения суставов. У детей постарше, в возрасте 7-8 или 12-14 лет, причиной боли может стать киста, вызывающая воспаление кости. Недуг сложно диагностировать, потому что по ощущениям это просто терпимая боль. Полая опухоль сильно истончает кость. Обычно её выявляют одновременно с переломом, который легко заработать на ровном месте. Избежать этого поможет вовремя сделанный рентгеновский снимок больной конечности.
Автор благодарит невропатолога Константина Пушкарёва за помощь в подготовке материла.
Что делать, если у ребенка отит?
Если ребенка появилась боль в ухе, надо обязательно
в тот же день обратиться к врачу. Это особенно
необходимо, если у ребенка повысилась температура.
Лечение скорее помогает на ранней стадии заболевания.
Не пытайтесь лечить отит самостоятельно.
До прихода врача дайте ребенку болеутоляющее средство — таблетку или сироп — в дозе, которая указана в инструкции по применению. Если врач ранее прописывал вашему ребенку какие-нибудь ушные капли, закапайте их. Согрев пузырек в руке, положите ребенка на спину и поверните его голову набок. Закапайте 3-4 капли в наружный слуховой проход. Чтобы лекарство дошло до барабанной перепонки, уговорите ребенка полежать несколько минут с повернутой набок головой. Если pe6eнок не может потерпеть, положите в ухо кусочек ваты.
Если в положении лежа боль очень сильная, разрешите ребенку встать: это снизит давление в среднем ухе. Иногда на подушке ребенка появляется желтое пятно, хотя ребенок и не жаловался на боль в ухе. Это бывает, когда в самом начале болезни барабанная перепонка лопается и из уха выделяется гной. Но чаще если барабанная перепонка и лопается, то через несколько дней после начала болезни на фоне высоком температуры и боли в ухе. Если у ребенка гноится ухо, вытрите гной ватным тампоном, вымойте ушную раковину водой с мылом и обязательно покажите малыша врачу. Если гной раздражает кожу, то после его смывания смажьте ухо глицериновой мазью. При воспалении ушей дети часто начинают хуже слышать. Если принимаются своевременные и правильные меры по лечению, глухота, как правило, проходит.
Поскольку чаще всего отиты имеют инфекционное происхождение, при лечении используются антибиотики. Их всегда должен назначать врач. Давайте их в течение срока, который указал врач.
Иногда врач делает пункцию (прокол) барабанной перепонки и удаляет инфицированную жидкость через небольшое отверстие, которое потом заживет примерно за 10 дней. Все это время за ушком ребенка надо тщательно ухаживать. Врач должен регулярно осматривать ребенка, пока состояние ушей не станет нормальным.
Локализация боли
При возникновении болей нужно точно выяснять их локализацию, что позволит поставить правильный диагноз:
Причины возникновения шишек на стопах ног у ребенка, виды уплотнений и сопутствующие симптомы с фото, лечение
- при болях роста боль чувствуется на разных участках ноги: сегодня болит зона ниже колен, завтра – ступня, бедро, одна конечность или обе;
- при стрессе боль средней или ярко выраженной интенсивности охватывает всю ногу;
- при ортопедической патологии страдает одна зона – сустав, стопа, щиколотка и т.д.;
- если в организме не хватает микроэлементов, или ребенок регулярно занимается спортом, дискомфорт концентрируется в районе икры;
- артрит и хронические инфекции вызывают неприятные ощущения в области крупных суставов;
- травма ахиллова сухожилия провоцирует боль в пятке;
- при сердечно-сосудистых патологиях боль распространяется на всю ногу при нахождении в состоянии покоя.
Причины зубной боли без кариеса
Если зуб болит, но кариеса нет, причину симптома следует сначала искать в других стоматологических болезнях. Болевые ощущения в той или иной степени характерны для следующих патологий:

- Пульпит — воспалительный процесс, охватывающий нервные ткани зуба, которые расположены внутри дентина. Обычно он развивается из-за отсутствия лечения кариеса. Также он может возникнуть под пломбой. Воспаление дает о себе знать самопроизвольными болями, которые носят пролонгированный характер. Болевые ощущения резкие и острые, устранить их с помощью анальгетиков обычно не получается. Очень сильно зуб болит по ночам. Если пульпит приобретает хроническую форму, боли становятся ноющими, но не такими интенсивными. Как правило, из-за этого заболевания приходится удалять пульпу. Зуб становится мертвым и заметно темнеет.
- Периодонтит — воспаление зубного корня. Возникает на интактных (которые не лечились) зубах, после травм, из-за распространения кисты, в результате инфицирования или под пломбой. Боль появляется во время еды, а в период обострения иррадиирует в соседние зубы. Болевые ощущения носят ноющий характер, со стороны десны может возникнуть флюс. Острый гнойный периодонтит сопровождается общим ухудшением самочувствия, слабостью и повышением температуры.
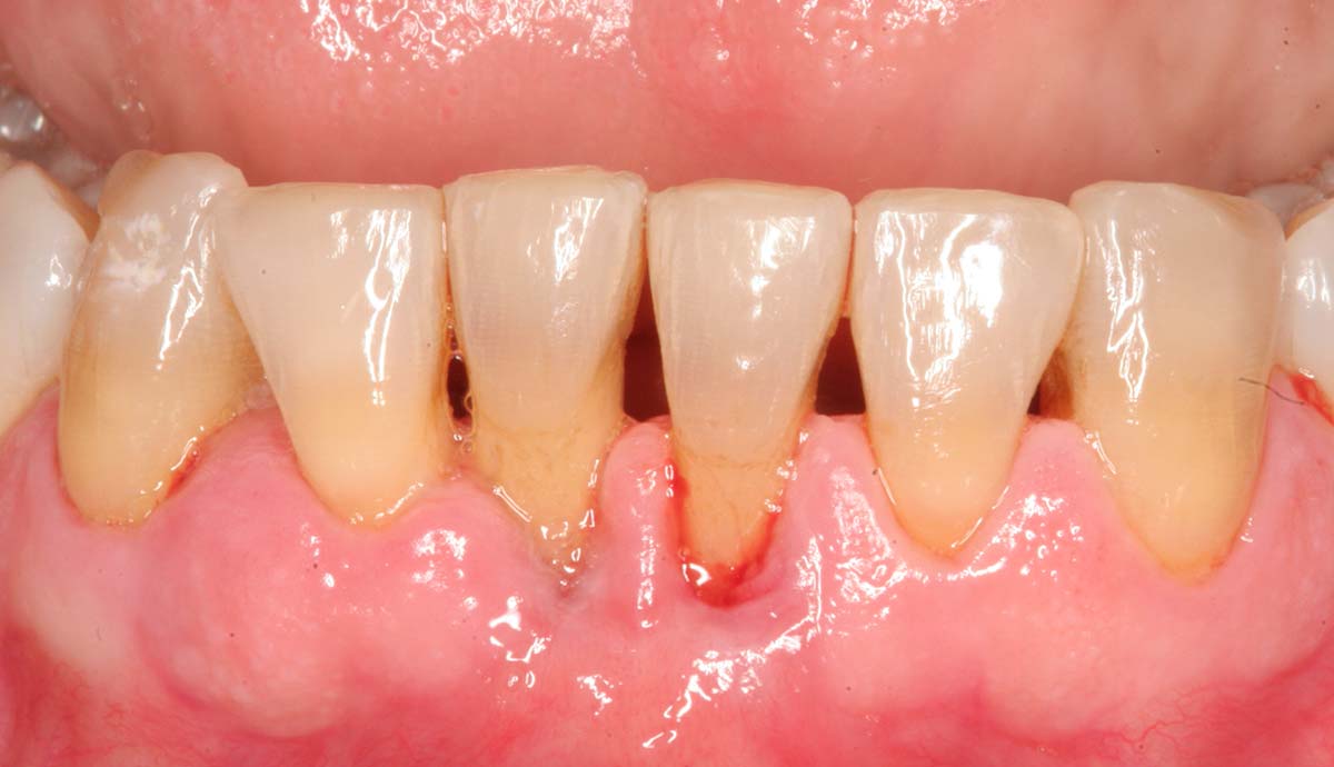
- Пародонтит — воспалительное поражение тканей, окружающих зуб. При этом заболевании образуются зубодесневые карманы и наблюдается опущение десны. Из-за этого зубы становятся более чувствительными и болезненно реагируют на внешние раздражители. Другими признаками пародонтита являются зуд десен, кровоточивость и неприятный запах изо рта. Особенно сильно зуб болит при нажатии и пережевывании пищи, иногда он расшатывается. Запущенную форму болезни лечат хирургическим способом.

- Гингивит — воспалительное заболевание десен, которое проявляется болью в одном или нескольких зубах. Если в десневых карманах начинается нагноение, появляется неприятный запах изо рта, зуб начинает шататься, а десны кровоточат. Болевые ощущения возникают внезапно, например, во время пережевывания пищи, особенно горячей, холодной и кислой.
- Киста зуба — новообразование между зубным корнем и костью челюсти, имеет вид мешочка, заполненного гноем. Болезнь сопровождается ноющей болью, особенно сильно болит зуб при нажатии и воздействии на него горячей едой или напитками. Выявить кисту можно с помощью рентгенографии. Лечится она хирургическим путем. После удаления еще какое-то время может сохраняться боль, повышенная чувствительность и отечность десны.
- Ретинированный зуб мудрости. Непрорезавшиеся «восьмерки» часто начинают расти в сторону, нередко они давят на соседние зубы, вызывая болезненные ощущения. Также этот процесс сопровождается воспалением десны. Патологию легко диагностировать по локализации боли — за последним моляром, то есть на самом краю челюсти.

Также зубной болью сопровождаются некариозные поражения эмали, например, эрозия, повышенная истираемость или дисплазия. Зуб болит при воздействии на него кислой или сладкой пищей, во время соприкосновения с зубной щеткой или стоматологическим инструментом. В ходе дифференциальной диагностики врач должен отличить кариес от перечисленных заболеваний и назначить соответствующее лечение. Точно определить патологию только по характеру зубной боли практически невозможно.
Диагностика при зубной боли
Сначала стоматолог проведет визуальный осмотр полости рта. Обычно, чтобы выявить кариес, если он развивается не на зубном корне и не под десной, врачу нужно просто осмотреть больной зуб. В ряде случаев он использует специальные индикаторы, которые окрашивают пораженные кариозным процессом участки эмали в синий или фиолетовый цвет. Также доктор может назначить рентгенографию, лазерную диагностику, электроодонтометрию и трансиллюминацию. Если будут исключены стоматологические патологии, нужно будет идти к другим специалистам — отоларингологу, хирургу, неврологу или терапевту.
















































