Любопытные аномалии зубов
В своей практике стоматологи нередко сталкиваются с весьма необычными и любопытными случаями, и многие из них как раз связаны с аномалиями зубных рядов.
Подростку удалили 232 зуба
Однажды идейскому мальчику Ашику Гаваи стоматологи удалили из полости рта 232 зуба, в связи с чем он попал в Книгу рекордов Гиннеса. Лечение ребенка началось с обнаружения странной опухоли на нижней челюсти. Через некоторое время стоматологам удалось установить, что Ашика беспокоит диагноз «одонтома» – опухоль, состоящая из зубов. В стоматологии ребенку удалили 232 зуба. Конечно, не все были развиты полностью, но при этом они все равно являлись полноценными зубными единицами.
Жители Саудовской Аравии извлекли зуб из носа
Зубы иногда прорезываются не в тех местах, но вот 22-х летнему мужчине из Саудовской Аравии не повезло достаточно сильно – не тем местом оказался нос. Этот зуб, почему-то прорезавшийся вне зубного ряда, вызывал у мужчины постоянные носовые кровотечения и боли. В итоге костистую массу просто удалили.
У подростка выросли вампирские клыки
Эта история с более грустным концом, а точнее, пока без окончания. Китайский мальчик Ван Пенфэй с детства плохо рос, и некоторое время назад у него во рту вместо передних зубов выросли острые клыки. Операция, по словам врачей, возможна будет, только когда ребенок станет старше, а пока ребенку придется потерпеть. Это особенно неприятно, учитывая, что отношения со сверстниками у него из-за этого очень натянутые.
Вампирские клыки у подростка
Хирурги нашли два зуба в глазной опухоли
Индийская женщина Нагабхушэнэм Шива с самого детства имела на глазу опухоль. Однажды, на очередном обследовании, когда состояние женщины ухудшилось, врачи приняли решение об удалении. И после операции внутри опухоли обнаружилось два полностью сформировавшихся полноценных зуба!
Рекомендации по уходу
Так как во время прорезывания коренных зубов эмаль ещё не полностью сформирована, огромное внимание следует уделять полноценной гигиене полости рта и профилактическим мерам, предотвращающим развитие кариеса
- Утром и вечером зубы надо чистить, используя мягкую щетку, которая не повреждает десну. Детям рекомендуется применять специальные зубные пасты с высоким содержанием кальция и фтора. Чистить зубы лучше под присмотром взрослых, так как дети нередко делают это слишком быстро и недостаточно тщательно.
- Два раза в год все дети должны ходить к стоматологу для осмотра, профессиональной чистки и своевременного обнаружения и лечения кариозных образований.
- После любого приема пищи дети должны полоскать рот с помощью обычной воды, специального детского ополаскивателя либо отвара ромашки. Благодаря этому на зубах не будет собираться налет и уменьшится вероятность развития воспалительного процесса в зоне прорезывания коренного зуба.
Хронология прорезывания зубов
У большинства младенцев первые зубы прорезываются в возрасте от 6 до 7 месяцев, но это может произойти раньше или позже. Как правило, зубы вашего малыша, скорее всего, появятся в следующих окнах временной шкалы:
6-7 месяцев
За это время начинается процесс прорезывания первых зубов. Первыми прорезывающимися зубами обычно являются нижние центральные резцы, которые являются двумя средними зубами внизу. Дети в этом возрасте становятся более активными. Они начинают хватать и тянуть предметы к себе, перекладывают предметы из одной руки в другую и могут даже начать ползать
Важно следить за маленькими предметами в пределах досягаемости вашего ребенка, так как он захочет положить все в рот во время прорезывания зубов!
От 8 до 13 месяцев
Между 8 и 12 месяцами у вашего ребенка появятся верхние центральные резцы. Кроме того, где-то между 9 и 13 месяцами у них появятся верхние и нижние зубы рядом верхними центральные резцы (они называются нижними и верхними боковыми резцами)
Помимо прорезывания зубов, важно понимать, что в это окно развития достигаются и другие важные этапы развития крупной моторики. Большинство младенцев способны принять сидячее положение, встать без посторонней помощи, сделать первые шаги, поднять и бросить предметы, катать мяч и захватывать предметы
От 13 до 20 месяцев
Как правило, в возрасте от 13 до 16 месяцев первые моляры вашего малыша появляются внизу и вверху примерно в одно и то же время. Вскоре после этого их клыки появятся как в верхнем, так и в нижнем рядах, примерно между 16 и 20 месяцами.
От 20 до 30 месяца
На заключительном этапе прорезывания зубов у малыша в нижнем ряду появляются задние зубы или вторые коренные зубы. Хотя большинство симптомов прорезывания зубов проявляются одинаково как у малышей, так и у младенцев, по мере взросления вашего ребенка есть некоторые различия. В первую очередь, ваш малыш теперь может рассказать вам о своем дискомфорте и боли, в отличие от невербальных младенцев. С другой стороны, многие малыши не будут демонстрировать никаких признаков дискомфорта и вообще не будут жаловаться на боль при прохождении коренных зубов. Для других малышей боль может быть значительно сильнее, потому что их первые коренные зубы больше, чем их другие коренные зубы. Они могут даже жаловаться на головную боль или боль в челюсти!
Классификации зубов
Для начала стоит уточнить терминологию, так как многие люди понимают под словом коренные именно постоянные зубы. Хотя это понятия из разных классификаций.
Выделяют следующие типы зубов:
- резцы ー это передние зубы («единички» и «двойки»), они имеют острый край, служат для откусывания кусочков пищи;
- клыки ー зубы конической формы, служат для разрывания плотной пищи;
- малые коренные (премоляры) ー это «четверки» и «пятерки» в зубном ряду;
- большие коренные (моляры) ー шестерки, семерки и восьмерки. Крупные зубы с широкой жевательной поверхностью, служат, как и премоляры, для перетирания пищи.
То есть, эти зубы могут быть и молочными, но со своими особенностями ー у детей в молочном прикусе из жевательных выделяют только первые и вторые моляры. И именно с коренными зубами возникают проблемы ー как определить, молочный или постоянный он у ребенка?
Причины позднего прорезывания молочных зубов
Задержка прорезывания зубов у детей может возникнуть из-за различных заболеваний, которые перенесла мама во время беременности. Также это может быть последствием того, что малыш болел в неонатальном периоде ( до 28 дней с рождения) или во время формирования дентина и эмали. Заболевания, которые могут повлечь за собой задержку роста зубов: корь, краснуха, врожденный сифилис, а также заболевания желудочно-кишечного тракта. Кроме того, могут сказаться вредные привычки мамы в период беременности и раннего развития. Нарушения могут быть связаны с индивидуальными особенностями развития.
Самые распространенные причины запоздалого прорезывания:
- рахит и различные нарушения фосфорно-кальциевого обмена;
- гипотиреоз – снижение активности работы желез внутренней секреции;
- проблемы с пищеварительной системой и всасыванием полезных веществ;
- серьезные нарушения питания;
- генетическая предрасположенность;
- наследственные нарушения обмена минералов;
- заболевания костно-хрящевой ткани.
Неправильное прорезывание зубов у ребенка может быть из-за нестандартного положения, например, другого наклона или поперечного расположения. Сверхкомплектные зубы также могут препятствовать прорезыванию.
Еще одной аномалией, которая влияет на правильное развитие молочных зубиков, является киста. Это небольшое образование (гематома) в месте, где должен вырасти зуб. Если вы заметили припухлость – обратитесь к врачу. Если случай несложный, проблема решается терапевтическими методами. Также может потребоваться хирургическое вмешательство.
Выяснить причину задержки появления зубов поможет рентгенография.
Когда происходит смена зубов?
Для того, чтобы следить за порядком смены зубов и уметь при необходимости выявить патологию, следует помнить о временных рамках:
- Резцы меняются у детей в 6-8 лет.
- Клыки выпадают и появляются новые в 9-12 лет.
- Моляры начинают смену в 9-10, могут меняться до 12 лет.
- Большие коренные зубы прорезываются в возрасте с 6 до 11-13 лет, а последние («восьмерки», так называемые «зубы мудрости») могут появиться в 20-30 лет.
И если смену резцов и клыков вы заметите сразу ー ребенок всем с удовольствием демонстрирует свою очаровательную беззубую улыбку, то с молярами все не так однозначно.
Как отличить постоянный коренной зуб от молочного
Различать временные и постоянные зубки можно, в первую очередь, по цвету. Эмаль молочных белая и даже имеет синеватый оттенок. Это такие зубки, которые называют белоснежными. А вот постоянные всегда чуть темнее и имеют скорее желтоватый или сероватый оттенок.
Также временные зубки мельче, а постоянные ー более крупные, у моляров и премоляров большая жевательная поверхность и несколько крупных бугорков на ней. Зубы производят впечатление внушительных, крепких.
Формула зубного ряда у деток, чьи зубки уже сменились, будет аналогична взрослой ー 8 резцов, 4 клыка, 8 премоляров и 8 моляров. То есть, с одной стороны челюсти будет 2 малых коренных и 2 больших коренных зуба. Чтобы понять эту формулу и научиться отличать постоянный коренной зуб от молочного, рекомендуем сравнить их на фото.
Профилактика неправильного прорезывания
Появление молочных зубов и смена их постоянными ー естественный процесс. Однако болезни или сложности с питанием могут повлиять на прорезывание и привести к стоматологическим проблемам.
Какие факторы влияют на смену зубов?
- наследственные.Так, от генетической предрасположенности зависит скорость появления новых, их цвет, прочность, иногда ー прикус и особенности роста;
- питание. Характер пищи, сбалансированность, наличие в рационе достаточного количества белка, минеральных компонентов, витаминов, клетчатки ー все это влияет на процесс смены;
- физическое и эмоциональное состояние ребенка. Болезни, избыточные физические нагрузки, стрессы в школе или дома ー это факторы, которые могут стать причиной замедления прорезывания;
- недостаточная гигиена полости рта в младшем возрасте. Размножение кариесогенных бактерий приводит к стоматологическим проблемам, которые в запущенных случаях могут привести к удалению молочных зубов. А последние, в свою очередь, “держат” место для постоянных. И если молочный зубик удален рано, то прорезывание постоянного будет затруднено.
Чтобы обеспечить ребенку белоснежную улыбку и в детстве, и во взрослом возрасте, приучайте его к гигиене! Средства «Асепта» созданы для детей различных возрастов:
- Салфетки для очищения зубов и десен и зубная паста BABY подойдут для гигиены полости рта с 0 месяцев.
- Гель АСЕПТА KIDS понравится деткам от 4 лет.
- Пасту серии TEENS обожают подросшие дети (от 8 лет) ー у нее потрясающий сливочно-персиковый вкус.
Все средства безопасны, гипоаллергенны, не содержат фтора, парабенов, агрессивных абразивов. Они насыщены кальцием и активными веществами, предотвращающими кариес.
Сколько сменяется с молочных на коренные?
Все молочные зубы, которых насчитывают двадцать, в норме выпадают, чтобы на их месте появились постоянные, которые за их крепкие длинные корни называют коренными. При этом постоянных зубов прорезывается больше, чем было молочных, поскольку у малышей появляется дополнительно еще по 2 пары жевательных зубов. В результате в детском возрасте вместо 20 молочных прорезывается 28 постоянных зубов.
Читать также: Зубная челюсть
Всего коренных зубов должно быть 32, но последняя четверка может начать резаться позже, а у некоторых людей она вообще не появляется, оставаясь в виде зачатков в деснах.

Во сколько лет меняются зубы у детей: таблица
До 48 месяцев молочные резцы и клыки не выпадают и не шатаются. Шатание – признак нехватки витаминов или заболевания. Если вовремя обратиться к стоматологу, он установит искусственный имплант, который поможет защитить целостность ряда.
Длительное отсутствие коренных зубов свидетельствует об аномалии. Придется делать рентген, который позволит выявить развивающуюся болезнь и устранить ее на ранней стадии.
Встречаются и противоположные ситуации. Когда молочник не торопится уступить место постоянному зубу, который уже сформировался и начал прорезываться. Такую помеху приходится удалять, чтобы избежать неправильного роста коренного зуба.
Дать четкий ответ на вопрос, во сколько лет меняются молочные зубы у разных детей, невозможно. У кого-то процесс завершится к десяти годам, а у кого-то только к тринадцати. И оба ребенка будут развиваться в пределах нормы. Так что волноваться из-за того, что сверстники уже улыбаются вовсе 28 «жемчужин», а ваш ребенок всего в 20, не стоит. Но в случае чересчур длительной задержки сходить к врачу все же желательно. А выяснить, не отстают ли зубки от графика, поможет таблица:
| Название пары (верхней и нижней) | Срок выпадения молочного зуба (возраст в годах) | Срок прорезывания постоянного зуба (возраст в годах) |
|---|---|---|
| Первые моляры | ꟷ | 5–6 |
| Центральные резцы | 6–7 | 6–8 |
| Боковые резцы | 7–9 | 8–10 |
| Малые временные моляры, после смены – премоляры | 8–10 | 10–12 |
| Большие временные моляры, после смены – премоляры | 11–13 | 10–12 |
| Клыки | 9–11 | 10–12 |
| Вторые моляры | ꟷ | 12–13 |
| «Зубы мудрости» | ꟷ | 17–20 |
Как происходит смена молочных зубов на постоянные
Сформированный молочный прикус – это 20 временных зубов, именно такое количество наблюдается у здоровых трехлетних малышей. К 14 годам происходит обусловленная природой замена молочных зубов на постоянные. К этому возрасту во рту насчитывается от 28 (при отсутствии верхних и нижних третьих моляров) до 32 зубов.
В период, когда должна произойти смена, корни временных зубов начинают разрушаться, рассасываться, уступая место развивающимся зачаткам постоянных. Вот так выглядит этот процесс на рентгеновском снимке:

Постепенно разрушаясь от корня к шейке, молочный зуб готовится выпасть. В это время постоянный уверенно занимает его место.
https://youtube.com/watch?v=1fSeyg0mEUQ
Из-за чего молочные зубки выпадают
Перед тем, как появляются постоянные зубы, происходят интересные физиологические изменения: как например самостоятельное рассасывание корней молочных зубов. Именно поэтому начинается их шатание и выпадение. Зачатки постоянных зубов располагаются между корнями молочных, из-за этого рассасывание начинается с места прилегания корня к зачатку зуба постоянного. Рассасывание берет начало с верхушки корня и постепенно продвигается к его основанию. Как только этот процесс подходит к шейке, зуб выпадает.
У детей прорезывается 20 молочных зубов. В ротовой полости у взрослых бывает от 28 до 32 зубов. Как правило, все молочные зубы выпадают. У ребенка к 14-летнему возрасту их полностью должны заменить постоянные.
Порядок и сроки смены молочных зубов на постоянные
Традиционная схема смены молочных зубов детей на постоянные выглядит так:

В возрасте с 6 до 8 лет появляются первые моляры и центральные резцы, боковые резцы прорезаются с 7 до 9 лет. Смена клыков у детей наблюдается с 9 до 12 лет, нижние клыки обычно появляются раньше верхних. Примерно в этом же возрасте начинается рост вторых моляров, третьи не подчиняются общему правилу, в перечне они последние – их появление может произойти в возрасте от 17 до 26 лет или не произойти вовсе.
Стоит отметить, что на фото приведена примерная очередность прорезывания и выпадения молочных зубов. Небольшие отклонения не могут расцениваться как аномалия развития. На то, в каком порядке будет происходить смена молочных зубов на постоянные, могут повлиять следующие факторы:
- продолжительность грудного вскармливания;
- постоянно циркулирующие в организме инфекции;
- особенности течения беременности, хронические болезни мамы малыша;
- генотип.
Ранняя потеря молочных зубов
Срочное удаление по терапевтическим показаниям (разрушение вследствие разрастания кариозных очагов, воспалительные процессы пародонта) и травмы являются самыми распространенными причинами ранней потери молочных зубов. Казалось бы, временные зубы все равно покинут свои места, но стоматологи предупреждают родителей об опасности, связанной с преждевременным освобождением челюсти от молочных зубов.
Речь идет о возможности занятия неправильного положения коренными зубами. Дело в том, что после несвоевременной утери зуба зубной ряд начинает постепенно сдвигаться, заполняя образовавшееся пространство близлежащими зубами. Занимая часть свободного места, они могут расположиться над зачатком постоянного. В этом случае постоянный зуб испытывает трудности с прорезыванием и занимает неправильное положение перед появлением.

Избежать последствий поможет регулярное наблюдение детского стоматолога. Ортодонтическое лечение, рентген, обращение к челюстной хирургии – все это лишь часть манипуляций, которые может посоветовать доктор в подобных ситуациях.
Поздняя смена
Сроки смены молочных зубов на постоянные могут сдвигаться на более поздний период из-за генетической предрасположенности, скудного рациона и неполноценного питания, при котором малышу недостает поступающих извне минералов и микроэлементов. Напрямую задержка зависит от:
- наличия в организме активных инфекций;
- степени проявления хронической диспепсии;
- предрасположенности к рахиту.
Зачатки коренных зубов могут разрушаться или вовсе не развиваться, признаком отклонения служит устойчивый молочный прикус. Если к 8–9 годам у ребенка не шатаются и не выпадают временные зубы, впору задуматься об аномалии. Родителям стоит немедленно показать ребенка стоматологу.
Особые ситуации
Процесс смены зубов у детей любого возраста физиологичен и не должен причинять дискомфорт. Боль и недомогание – признаки воспалительных процессов, за которыми должен наблюдать врач. Поэтому при повышении температуры, нагноении, избыточной гиперемии десен нужно обязательно обратиться в стоматологию.
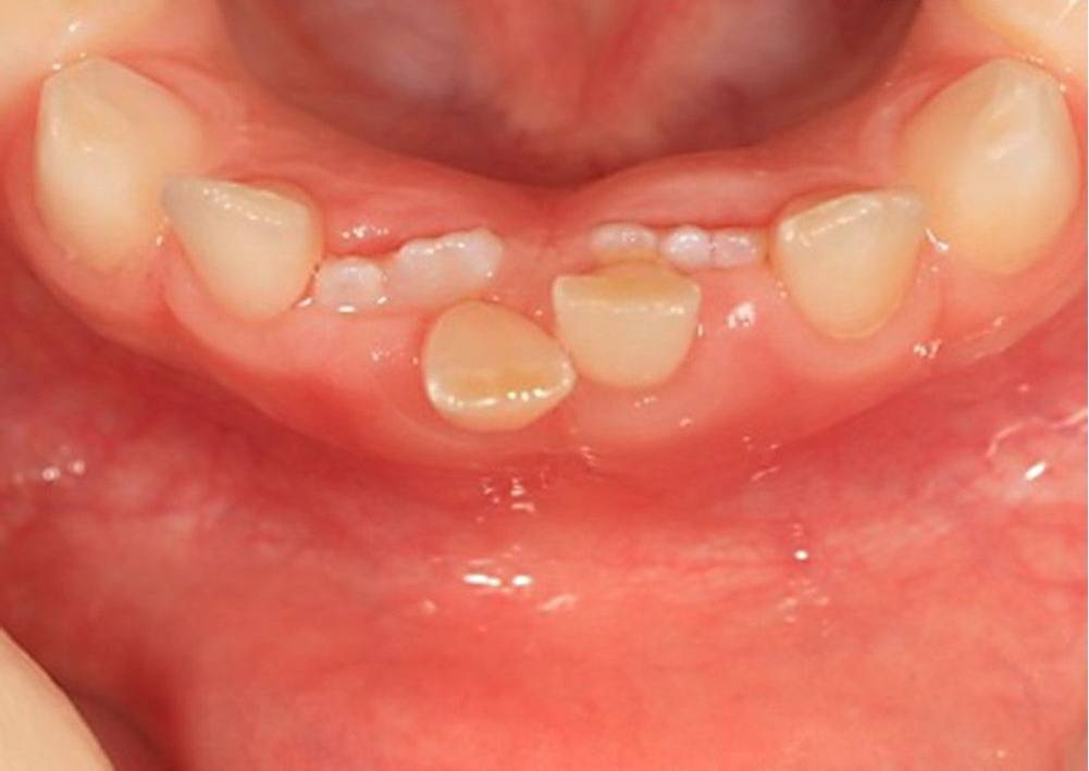
К особым случаям, наблюдаемым при смене прикуса, относятся:
- Отсутствие постоянных зубов после выпадения молочных.
- Появление и активный рост постоянных зубов до выпадения молочных.
В первом случае причинами могут стать адентия – отсутствие зубов и зачатков в челюсти, и ретенция – процесс, при котором происходит задержка прорезывания. Выяснить, почему прикус редеет, но не восполняется, может только врач. Во втором случае речь идет об «акульих зубах». Многие стоматологи не считают рост коренных зубов до выпадения молочных признаком аномального развития. Практика показывает, что со временем молочный прикус исчезает, а элементы постоянного постепенно занимают нужное положение.

На фото «акульи зубы»
Смена молочных зубов у детей строго по таблице со сроками – большая редкость. Доктора допускают небольшие отклонения и в порядке, и в сроках. Главное, обеспечить ребенку постоянное наблюдение у профессионала и тщательный уход еще до того, как начнется смена.
Мнение специалистов
Зубные пасты и салфетки АСЕПТА отличаются доказанной клинически эффективностью. Результаты исследований зубных паст, салфеток, ополаскивателей, бальзамов и других средств АСЕПТА регулярно публикуются на нашем сайте. Действие выпускаемых средств проверяется в собственной лаборатории в научно-исследовательском центре ВЕРТЕКС. Вся продукция имеет сертификаты соответствия.
-
Изучение клинической эффективности применения лечебно-профилактических средств серии «АСЕПТА» при лечении воспалительных заболеваний пародонта у детей и подростков (И.В. Климова)
Климова Ирина Владимировна, к.м.н., доцент кафедры стоматологии детского возраста Новосибирского государственного медицинского университета.
Кафедра стоматологии детского возраста Новосибирского государственного медицинского университета. -
Применение препаратов линейки «Асепта» в комплексном лечении воспалительных заболеваний пародонта (Н.В. Березина Е.Н. Силантьева С.М. Кривонос, Казанская государственная медицинская академия. Казань.)
Н.В. БЕРЕЗИНА, Е.Н. СИЛАНТЬЕВА, С.М. КРИВОНОС
Казанская государственная медицинская академия -
Клинический опыт применения серии средств «Асепта»
Фукс Елена Ивановна ассистент кафедры терапевтической и детской стоматологии
Государственное бюджетное образовательное учреждение высшего профессионального образования Рязанский государственный медицинский университет имени академика И.П. Павлова Министерства здравоохранения и социального развития Российской Федерации (ГБОУ ВПО РязГМУ Минздравсоцразвития России)
Что делать, когда у ребенка выпадет первый зуб?
Представьте себе ситуацию: прибегает ваше испуганное чадо с зубиком в руке. Что делать в такой ситуации? В первую очередь, перестаньте паниковать сами! Во рту у него появилась ранка, которую нужно качественно обработать и защитить от инфекций.
Ранка может немного кровоточить. Чтобы остановить кровотечение, возьмите стерильный бинт, сложите его в несколько раз и дайте прикусить ребенку. За 5−10 минут кровь остановится.

После естественного выпадения молочного зубика не давайте ребенку есть на протяжении 2-х часов. Почему? Слизистые во рту восстанавливаются очень быстро. Этого времени будет вполне достаточно для затягивания ранки.
А вот если кушать сразу же после выпадения зуба, то в ранку могут попасть частицы пищи, в которых при разложении начнут появляться бактерии, из-за чего произойдет инфицирование ранки. Кстати, обычную кипяченую воду давать можно.
Первые сутки после потери зубика у детей может быть повышенной температура тела
Это стандартная реакция организма на процесс смены важной составляющей ротовой полости. Если температура не пройдет за сутки самостоятельно, то лучше покажитесь стоматологу
Зачем? Так как в ранке может развиться воспалительный процесс, который будет держать температуру (37,5⁰) несколько суток.
А что делать с выпавшим зубом? Это уже решать вам. Можете проявить фантазию и разыграть сценку с зубной феей, которая отблагодарит, если ей отдать зубик. Так вы поможете ребеночку пережить стресс, который, поверьте, у него будет.
Хорошо, если молочные зубки будут выпадать без проблем и вовремя. Но, к сожалению, так бывает не всегда. Если начинаются проблемы, то приходится обращаться к стоматологу.
Лечение молочных зубов
Наиболее распространенным заболеванием, поражающим непостоянные зубы, является кариес. Молочные зубы у детей покрыты слишком тонким слоем эмали, потому кариес легко может проникнуть в самую глубину зубных тканей, вызывая воспаление пульпы, зачастую оканчивающееся периодонтитом. Периодонтит особенно опасен для зубов ребенка, потому что в результате действия патологических процессов может даже погибнуть зачаток постоянной зубной единицы, и на месте молочного зуба больше ничего не вырастет.
Для лечения кариеса непостоянных зубов в современной стоматологии используются только щадящие методики, причиняющие ребенку минимум беспокойства и неприятных ощущений. При появлении пульпита, спровоцированного запущенными кариозными процессами, может быть произведено удаление нерва непостоянного зуба. Чаще всего непостоянные зубы депульпируются, когда дети жалуются на сильную боль.
Лечение периодонтита у детей – процедура сложная. В этой ситуации ребенка ожидают длительные и сложные лечебные мероприятия. Непостоянные зубы удаляются при периодонтите, если обнаружено повреждение зачатка постоянного зуба патологическим процессом.

Смена молочных зубов – причины задержки
Обратная ситуация – зубы долго задерживаются и никак не могут прорезаться. В этом случае рекомендуется сделать панорамный рентгеновский снимок, чтобы наглядно увидеть зачатки постоянных резцов и моляров и понять состояние корневой системы.
Рентгеновский снимок молочных зубов
Конкретных причин больше, чем у раннего прорезывания, они могут быть, как врожденными, так и приобретенными:
- генетические заболевания, влияющие на состояние костной ткани;
- последствия перенесенного рахита;
- фенилкетонурия;
- плохая экология и вредный состав питьевой воды;
- гормональные сбои и сахарный диабет;
- хронические нарушения желудочно-кишечного тракта.
Зачатки зубов могут погибнуть еще на этапе внутриутробного развития плода. Именно поэтому требуется провести рентген или трехмерную томографию, чтобы исключить худший сценарий полной адентии, из-за которой постоянные зубы не вырастут уже никогда.
каталог стоматологий и стоматологов России
80 000 отзывов
1,5 млн визитов
20 000 клиник
30 000 врачей
Если молочный зуб «ушёл» не вовремя…
Часто дети теряют молочные зубы ещё до наступления периода их смены. Причиной тому служат неудачные падения и другие неприятные ситуации. Пустая десна испытывает куда меньшее воздействие в сравнении с соседними, так как дети в этом случае жуют пищу другой, не травмированной стороной. Это приводит к иссушению костной ткани и срастанию соседних корней. К сожалению, зачастую это приводит к неровному прорастанию коренного зуба на этом месте или даже патологиям челюсти. Однако паниковать не стоит
Важно своевременно отреагировать на проблему. Опытный стоматолог установит в ротовую полость расширитель, который спасёт от патологических изменений и позволит дождаться периода смены зубов в безопасности
Раннее выпадение зубов
Время выпадения зубов зависит от индивидуальных особенностей детского организма. Однако, преждевременная потеря зуба может быть опасна. Все дело в том, что если молочный зуб отсутствует долгое время, то соседние зубы сдвигаются, и для постоянного, начинающего расти в свои сроки, просто не остается места. Такая ситуация может вызывать нарушение правильного прикуса, искривлять зубной ряд и требует длительного лечения у ортодонта.
Что вызывает преждевременное выпадение зубов у детей:
- различные травмы;
- заболевания пародонта;
- кариес;
- инфекционные болезни, перенесенные ребенком в дошкольном возрасте.
Если молочный зуб выпал, а его постоянную смену стоит ждать еще не скоро — обратитесь к врачу-стоматологу. В современной стоматологии существуют специальные конструкции — пластинки, которые не позволяют соседним зубам сдвинуться и сохраняют место для постоянного зуба. Такие системы не травмируют зубную эмаль, не предполагают обточки зубов и не мешают малышу во время разговора и еды.
















































