Эпулис во время беременности
Если посетить стоматологический форум, коих во всемирной сети имеется предостаточно, то он в качестве панацеи будет, скорее всего, рекомендовать удаление и ничего кроме. Плюс к этому на превалирующем большинстве подобных тематических площадок советуют пройти гистологическое исследование опухоли до операции либо после таковой.
Безусловно, рациональное звено в указанных выше рекомендациях есть. Однако, они не являются универсальными. Как и везде, в данном вопросе тоже наличествуют определенные исключения.
Так, например, эпулис нельзя удалять у беременных. В этот ответственный период какие-либо хирургические вмешательства противопоказаны в принципе. При этом образование эпулиса вполне может быть спровоцировано наличествующим гормональным скачком. Врачебная практика показывает, что подобное новообразование после родов зачастую исчезает самостоятельно, без каких-либо дополнительных мероприятий лечебно-профилактического характера.
Снова напомним, что если в ротовой полости происходят какие-либо подозрительные явления (наличествуют боли, оторвался новообразованный сгусток, появились опухоли и т.д.), в срочном порядке проконсультируйтесь с врачом.
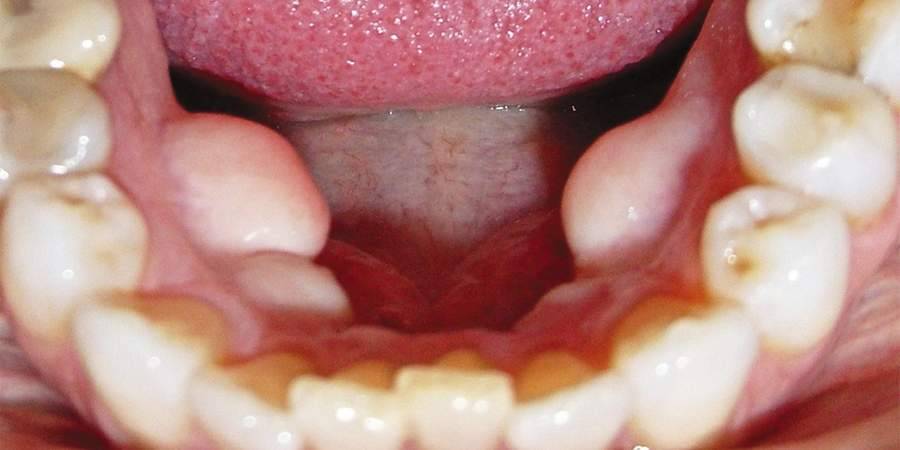
Что это такое и как выглядит
Само греческое слово «экзостоз» можно разбить на составляющие – «экзо» означает «снаружи», а «остеос» это «кость». Получается, что экзостоз – это нарост на кости снаружи. Причем он может быть как костным, так и костно-хрящевым. Еще такой нарост имеет название «остеофит», а кто-то и вовсе называет его просто «шишка на десне». Как выглядит эта патология, можно понять по фото – здесь сразу несколько костных наростов, которые сверху покрыты слизистой тканью.

Интересно знать! Располагаться экзостоз может в разных местах – на деснах верхней и нижней челюсти, на верхнем небе. Чаще на нижней челюсти он локализуется именно с лингвальной стороны (со стороны языка), а вот на верхней – с вестибулярной, т.е. со стороны щек и губ.
Обезболивающие мази при прорезывании зубов
Гели для десен показаны не только взрослым, но и детям. В детском возрасте они прежде всего нужны для того, чтобы облегчить осложнения, связанные с прорезыванием молочных зубов, так как это процесс, как известно, проходит весьма болезненно.
Существуют обезболивающие средства с лидокаином и без него. Средства с лидокаином – это Камистад, Дентинокс и Калгель. Однако обычно их применять не рекомендуется, так как у ребенка легко может быть аллергия на лидокаин.
Лучше всего будет использовать Холисал, натуральный гель Доктор Бэйби или гель Мундизал, показанный детям после года.
Преимущественно в стоматологии используют гели на водной основе, а не мази. Это делается потому, что мазь плохо держится на деснах, а действующее вещество из нее достаточно плохо попадает в ткани.
Кроме основного действующего вещества, которое и оказывает обезболивающее действие, в гели для прорезывания входят экстракты различных лекарственных растений, чаще всего ромашки, а также ментол. Все средства имеют приятный сладковатый вкус и действуют очень быстро. Боль практически сразу унимается благодаря легкому охлаждающему эффекту, а затем в дело вступает анестетик, полностью снимая дискомфорт. Некоторые гели также оказывают лечебное воздействие, снимая воспаление и отек.
Обезболивающие мази при прорезывании зубов
Концентрация действующих веществ в гелях небольшая, так что вероятность побочных эффектов очень низкая. Однако, чтобы избежать возможных негативных последствий, не стоит превышать указанную в инструкции суточную дозировку.
Лечение гнойников на десне у ребенка
В зависимости от того, на каком зубе развился гнойник, на молочном или на постоянном, тактика лечения будет отличаться.
Лечение гнойника
Если причиной гнойного воспаления стал пародонтит молочного зуба, то единственным вариантом будет его удаление. Пародонтит – это очень серьезное заболевание, которое весьма трудно лечить. Кроме того, пародонтит молочного зуба может стать причиной гибели зачатка коренного зуба.
В итоге имеется такой план лечения:
- Тщательно осматривается зона, пораженная гнойником;
- Осуществляется локальное обезболивание гнойника;
- Гнойник вскрывается и из полости удаляется весь гной;
- Больной зуб удаляется, возможно, под дополнительным обезболиванием;
- После всего этого ребенку прописываются антибактериальные препараты.
Если же гной поразил коренной зуб, то лечение будет отличаться. Гнойник также потребуется вскрыть, однако зуб лучше не удалять, а вылечить, запломбировав каналы и удалив заражение из костной ткани.
О профилактических мерах
Последствием не леченного эпулида может стать не только эстетический и косметический дефект лица и рта, но и нагноение, изъязвление опухоли и перерождение ее в рак, в случае же неправильно проведенной операции неизбежен рецидив заболевания.
Посему необходимо следовать простым правилам, позволяющим предотвратить его возникновение:
- содержать ротовую полость в должном состоянии;
- избегать травм зубов и челюстей.
При возникновении же проблем, не зависящих от личной гигиены (отложение зубного камня, дефект прикуса, трудности прорезывания зубов и иные) следует посетить кабинет стоматолога.
И не только посетить, но и строго исполнять его рекомендации по предотвращению возникновения зубочелюстных заболеваний.
Стадии кариеса — когда возникает пульпит молочных зубов

Кариес молочных зубов развивается по 4 стадиям, как и все остальные виды этого заболевания. Отличие в том, что временные зубы более хрупкие, а потому патология прогрессирует быстро. Твердые ткани могут быть разрушены всего за несколько месяцев, а при остром протекании болезни — за 3-4 недели.
Первая стадия характеризуется образованием участка деминерализации, который выглядит как белое пятно. Эмаль в этой области становится пористой и шероховатой, но заметить это невооруженным глазом практически невозможно, особенно если кариес появился между зубами, на корне или шейке. Болезнь не сопровождается болью, дискомфортом и другими симптомами. Иными словами, жалоб у человека нет, поэтому выявить патологию на этом этапе удается обычно только при профилактическом осмотре. Если есть подозрение на кариес, стоматолог наносит на зубную поверхность краситель, который окрашивает белые пятна в фиолетовый цвет.
К сожалению, не все родители приводят детей на стоматологический осмотр каждые 4 месяца, поэтому кариозный процесс продолжает прогрессировать. На второй стадии, поверхностной, кариес проникает вглубь эмали, но остается в ее границах. Кариозной полости еще нет, но белое пятно постепенно темнеет и становится коричневым или желтоватым. Также повышается чувствительность зуба к сладкому. Ребенок может и не жаловаться на это. Родители должны периодически осматривать его зубы. В случае обнаружения темных пятен нужно отправиться к дантисту.
На третьей стадии образуется кариозная полость, свидетельствующая о том, что кариес проник в дентин. Больной зуб становится еще более чувствительным и болезненно реагирует на перепады температур, кислую и сладкую пищу и зубную щетку. Пульпит на этой стадии, как правило, не возникает, так как пульпа защищена твердыми тканями. Однако риск возникновения воспаления значительно возрастает. К тому же кариес на молочных зубах при отсутствии профилактики и наличии располагающих для этого факторов стремительно прогрессирует.
Четвертая стадия характеризуется глубоким поражением дентина, что сопровождается частыми болями при контакте зуба с едой, холодным воздухом, горячими напитками и пр. Игнорировать или не замечать эти симптомы ребенок не может, он обязательно скажет, что у него болят зубы. Скорее всего, будет отказываться от еды и капризничать. Сложно не заметить кариозную полость и при внешнем осмотре. Она представляет собой большую дыру почти черного цвета. У больного постоянно неприятно пахнет изо рта даже после чистки зубов.
Четвертая стадия кариеса опасна тем, что может в любой момент спровоцировать воспаление пульпы, то есть пульпит. Рассмотрим подробнее эту патологию.
Разновидности эпулисов
Условно различают 3 разновидности эпулисов:
- Фиброзный. Новообразование плотное, основу составляет грубоволокнистая ткань. Характеризуется медленным ростом. Отсутствуют болевой синдром и кровоточивость.
- Ангиоматозный. Опухоль содержит большое количество кровеносных сосудов и локализуется преимущественно в боковых отделах челюсти. При такой форме недуга наблюдается кровоточивость даже при незначительном надавливании, например, зубной щеткой или пищей. При надавливании опухоль безболезненная, мягкой консистенции.
- Гигантоклеточный.Опухоль может достигать больших размеров, смещая зубы, которые находятся в зоне роста эпулиса. Слизистая эпулиса синюшно-красного цвета. При пальпации новообразование безболезненное, может умеренно кровоточить при травме.
По характеру течения процесса эпулис может быть доброкачественным и злокачественным. В первом случае новообразование характеризуется медленным развитием и, как уже говорилось выше, в большинстве случаев не причиняет боли. Размер опухоли в этом случае редко превышает 10–20 мм. При озлокачествлении процесса наблюдается быстрое разрастание ткани. При этом часто процесс сопровождается болезненностью, кровоточивостью десен и затрагивает корневые каналы соседних зубов.
Прогноз
При несвоевременном устранении причинного фактора, который спровоцировал появление гранулемы, последствия могут быть весьма плачевными. Так, например, вероятность рецидива является очень высокой даже в том случае, если было выполнено иссечение хирургическим путем.
При условии проведения комплексного диагностирования, а также проведения квалифицированного лечения прогноз в превалирующем большинстве случаев оказывается достаточно благоприятным.
Кроме этого предотвращение усугубления ситуации в дальнейшем возможно путем грамотно проведенной профилактики. Здесь имеется в виду предупреждение травмирования десенных покровов, грамотно выполненное протезирование зубов, проведение основательной припасовки ортодонтических аппаратов, а также систематическое квалифицированное обследование в условиях профессионального стоматологического кабинета.
Симптомы и признаки эпулиса
Тут все зависит от разновидности эпулиса. О многих моментах, рассматриваемых в этом разделе, было в значительной степени сказано выше. Главная задача приведенной ниже информации состоит, главным образом, в систематизации уже полученных сведений, а также внесении важных дополнений.
Итак, при фиброматозном эпулисе на десне образуется безболезненное разрастание неправильной либо округлой формы на широкой ножке. Поверхность характеризуется гладкостью. А если провести пальпаторное исследование, будет иметь место опухоль с достаточно плотной консистенцией и покровом из белесоватой слизистой.
Типичными признаками ангиоматозного эпулиса является красный оттенок, мягкая эластичная консистенция, мелкая бугристость строения. Развитие происходит в пришеечной зоне единиц зубного ряда. Даже при малозначительном повреждении новообразование начинает кровоточить. Довольно часто на поверхности гранулемы образуются отпечатки, создаваемые зубами антагонистами.
Локализация гигантоклеточного эпулиса наблюдается на альвеолярном отростке челюсти. Рост наличествующей опухоли довольно медленный. Когда гранулема достигает значительных размеров, пациенты зачастую начинают жаловаться на ухудшившееся жевание, а также нарушения глотательного процесса. Зубные единицы, расположенные в эпицентре роста эпулиса, начинают смещаться, а также обретать существенную подвижность. Консистенция гигантоклеточной периферической опухоли может отличаться как мягкостью, так и плотностью. Поверхность типично бугристая со слизистым покрытием синюшного оттенка. В некоторых случаях наблюдаются признаки изъязвлений. Во рту пациента никаких особо критичных симптомов не наблюдается. Челюсти размыкаются свободно и полноценно.

Мнение специалистов
Средства АСЕПТА отличаются доказанной клинически эффективностью. Действие выпускаемых средств проверяется в собственной лаборатории в научно-исследовательском центре ВЕРТЕКС. Вся продукция имеет сертификаты соответствия.
Результаты клинических исследований средств АСЕПТА для взрослых и детей регулярно публикуются на нашем сайте.
-
Клинический опыт применения серии средств «Асепта»
Фукс Елена Ивановна ассистент кафедры терапевтической и детской стоматологии
Государственное бюджетное образовательное учреждение высшего профессионального образования Рязанский государственный медицинский университет имени академика И.П. Павлова Министерства здравоохранения и социального развития Российской Федерации (ГБОУ ВПО РязГМУ Минздравсоцразвития России) -
Клинические исследования антисенситивной зубной пасты «Асепта Сенситив» ( А.А. Леонтьев, О.В. Калинина, С.Б. Улитовский )
А.А. ЛЕОНТЬЕВ, врач-стоматолог О.В. КАЛИНИНА, врач-стоматолог С.Б. УЛИТОВСКИЙ, д.м.н., проф.
Кафедра терапевтической стоматологии СПбГМУ им. акад. И.П. Павлова -
Изучение клинической эффективности применения лечебно-профилактических средств серии «АСЕПТА» при лечении воспалительных заболеваний пародонта у детей и подростков (И.В. Климова)
Климова Ирина Владимировна, к.м.н., доцент кафедры стоматологии детского возраста Новосибирского государственного медицинского университета.
Кафедра стоматологии детского возраста Новосибирского государственного медицинского университета.
Лечение эпулиса
Как решить проблему с подобной опухолью, которая заметна порой не только в ротовой полости, но и на щеке? Естественно, в срочном порядке обратиться к опытному квалифицированному специалисту.
Главнейшая задача при выявлении эпулиса – это эффективная ликвидация раздражающих факторов местного характера. Речь идет про необходимость удалить зубные отложения, вылечить кариес и различные его осложнения, выполнить рациональное протезирование, а также обеспечить должное изолирование выступающих компонентов ортодонтических конструкций.
Пациенты с фиброматозной и ангиоматозной формой находятся, как правило, под динамическим наблюдением. Объясняется такая необходимость довольно просто: по завершении санации ротовой полоти, а также ликвидации причинного фактора существует высокая вероятность существенного уменьшения эпулиса в размерах. Не исключено также полное его исчезновение.
Когда дело касается гигантоклеточной периферической опухоли, специалист производит иссечение в рамках здоровых тканей включая надкостницу. Выбор тактики касательно зубных единиц, пребывающих в области разрастания эпулиса, находится в прямой зависимости от сведений, полученных в результате физикального осмотра, а также рентгенографии. В случае существенной деструкции костного элемента межальвеолярных перегородок, а также значительного уровня подвижности единицы зубного ряда в превалирующем большинстве случаев удаляются.
Хирургическое удаление
Как правило, для удаления эпулиса проводится соответствующая хирургическая операция, которую в профессиональных кругах принято именовать иссечением. Данный процесс осуществляется в несколько этапов:
- проведение специалистом местного либо общего наркоза,
- обработка пораженных областей десны посредством специализированного антисептического средства,
- непосредственное иссечение опухоли посредством хирургических инструментов, минуя затрагивание здоровых участков тканей (как исключение, гигантоклеточный эпулис, при котором производится дополнительное удаление здоровых костных тканей, находящихся вблизи проблемного участка),
- закладывание после удаления лечебного тампона в раневую полость,
- накладывание шовного материала.
Удаление лазером
Современные технологии позволяют достигать отличного результата при высоких показателях безопасности. Удаление эпулиса лазером обеспечивает должное сохранение здоровых участков слизистой оболочки, а также костной ткани.
Еще одно объективное преимущество, которое демонстрирует лечение эпулиса лазером – это снижение до возможного минимума риска кровопотери в процессе оперативного вмешательства. Плюс к этому при использовании лазера реабилитация и заживление тканей в послеоперационный период являются более быстротекущими процессами по сравнению с вышерассмотренным удалением посредством хирургического инструментария.
Медикаментозный метод лечения
После того, как было проведено оперативное вмешательство, лечащим врачом назначается медикаментозная терапия. В рамках последней могут быть прописаны следующие средства и процедуры:
- антибактериальные препараты,
- антигистаминные средства (позволяют снять отек),
- внутриротовые ванночки с веществами, обладающими противомикробным действием (например, мирамистин),
- аппликации на послеоперационную область с использованием противовоспалительных и регенерирующих гелей,
- полоскание ротовой полости травяными настоями.
Народная медицина
Как вылечить эпулис дома? Например, путем полосканий. Если вы не знаете, чем полоскать проблемный участок, воспользуйтесь проверенными решениями: шалфей, ромашка, календула, кора дуба, сода, йодированная соль.
С целью местного снятия наличествующего воспаления можно смешать все рекомендуемые лечебные травы, получив в результате эффективный настой, полоскания которым необходимо осуществлять ежедневно через каждый 3-4 часа. Если же требуется вытянуть гнойное содержимое, тогда на раневую область накладывается небольшое количество соды, предварительно смоченной в воде. Для аналогичных целей можно также использовать слабосоленый раствор на основе воды комнатной температуры, пригодный для внутриротового применения.

Лечение воспаления под языком
Чаще всего воспаление под языком лечат амбулаторно. В зависимости от состояния больному назначают сульфаниламидные препараты, либо антибиотики. Из слюнного протока удаляется весь содержащийся в нем гнойный секрет, после чего туда вводится стрептомицин или пенициллин, разведенный с новокаином.
Эти методы используются, если причина воспаления под языком заключается в воспалении слюнных желез. Если же дело в общем заболевании, то в первую очередь надо заняться его лечением.
Вне зависимости от причины воспаления под языком, больному прописываются полоскания рта. Чаще всего для этого применяются растворы уксусной или борной кислоты, способствующие активному слюноотделению, что облегчает состояние больного. Кроме того, больной должен тщательно ухаживать за полостью рта. Иногда при серьезных воспалениях прописываются различные физиопроцедуры: грелки, соллюкс, УВЧ и другие.
В самых крайних случаях воспаления под языком из-за проблем со слюнными железами, слюнные железы приходится удалять хирургическим путем.
каталог стоматологий
и стоматологов России
80 000
отзывов
1,5 млн
визитов
20 000
клиник
30 000
врачей
Причины возникновения (Этиология)
В целом этиология данного заболевания является вполне закономерной, а потому легко объяснимой. Образуется такая опухоль по итогам влияния, оказанного раздражающими факторами местного характера. Травмы края десны разрушенными стенками зубных единиц, протезным базисом без полировки, кламмерами из металла, выпирающими компонентами либо ребристыми краями конструкций ортодонтического назначения чреваты прогрессированием хронического воспаления продуктивного типа. В число предрасполагающих факторов, ведущих к образованию опухоли, входят патологии окклюзии, нарушения гормонального фона, а также сужение зубных рядов.

Что это такое
Эпулис представляет собой опухолевидное новообразование, развивающееся на альвеолярном отростке челюсти. Имеет и другие названия — эпулид, наддесневик, гигантоклеточная гранулема. Чаще локализуется в области резцов, клыков и малых коренных зубов верхней челюсти, реже опухоль выявляют на нижней челюсти. Разрастание имеет округлую или неправильную форму и широкую ножку, размеры образования варьируются от 3 мм до 5 см.
Несмотря на то, что выглядит такая опухоль пугающе, больному она практически не доставляет беспокойства, за исключением нарушения эстетики и ощущения инородного тела в полости рта. Новообразование больших размеров может вызывать трудности с жеванием и глотанием пищи.

Если эпулис сопровождается кровоточивостью, может присоединиться инфекция, что повлечет за собой осложнения.
Недугом страдают в основном взрослые, но новообразование может появиться и у детей, у последних встречается в период прорезывания зубов. Исследования показали, что развитию эпулиса более подвержены женщины, чем мужчины.
Диагностика
Выявить базовую суть и все частные нюансы имеющейся проблемы позволяет дифференциальная диагностика, которую проводит квалифицированный специалист стоматологической клиники. Точный диагноз ставится на базе собранных жалоб, сведений анамнеза, а также итогов гистологического и клинического исследований.
В процессе обследования физикального типа специалистом осуществляется выявление на десенной поверхности соответствующего разрастания. Для выявления сути проблемы применяются следующие объективные исследовательские методы:
- рентгенография,
- патоморфологическая диагностика.
При помощи рентгенограммы зубной единицы (по мере прогрессирования процесса перерастания в периодонт) выявляются очаги, где имеют место разряжения костной ткани с заметно нечеткими контурами, лишенными признаков периостальной реакции.
Что касается патоморфологической диагностики, то в процессе исследования гигантоклеточного эпулиса гистологическом методом обнаруживаются макрофаги, многоядерные клетки, зерна гемосидерина.

Лечение кисты
Киста зуба лечится либо терапевтическими методами, либо при помощи хирургического вмешательства. Первые применяются в простых случаях.
Хирургия предполагает два варианта операций – цистотомия и цистэктомия. В обоих случаях применяется местная анестезия. При цистомии убирают только переднюю стенку кисты. Это менее травматичный вариант, так как позволяет сохранить зачатки постоянных зубов при операции на молочных.
Цистэктомия проводится, если размер кисты не превышает 1,5 см. Такая операция более тяжелая, зато послеоперационное восстановление проходит значительно быстрее.
Какой бы маленькой и несерьезной вам бы ни казалась припухлость, обратитесь к стоматологу. Это позволит избежать осложнений. А проблема устранится проще и за короткое время. Помните, что никакие ополаскиватели, настои и прочие народные средства не могут гарантировать выздоровление.
Виды
Исходя из морфологической и клинической выраженности, различают 4 вида разрастания тканей. Каждому присвоен отдельный код (номер) по Международной классификации болезней 10-го пересмотра (МКБ-10).
Фиброзный

Формируется из фиброзной десневой ткани с вложенными в нее костными поперечными включениями. Образуется только с вестибулярной стороны первых моляров или премоляров.
По цвету нарост совершенно неотличим от десны, при этом по форме бывает овальным или круглым с плотной консистенцией. Первоначально его поверхность ровная, но по мере его роста она обретает бугристость. Увеличиваясь, может через межзубные промежутки переходить на обратную сторону зубов.
Из всех видов разрастаний, фиброматозный имеет благоприятный прогноз лечения, растет медленно, не переходит в злокачественное состояние, безболезненный и не проявляет кровоточивости.
Гигантоклеточный
Образуется из остеогенных клеток и располагается всегда на альвеолярном гребне, закрывая постепенно собой коронки. Опухоль плотная, достаточно упругая, округлая, буро-коричневого цвета, растет медленно, но ее разрастания могут достигать объемов, нарушающих симметричность лица.
В единичных случаях проявляет болезненность, а при пальпации дает непродолжительное кровотечение. В зоне ее присутствия зубы расшатываются.
Различают 2 ее вида:
- Центральная – развивается из челюстной кости.
- Периферическая – возникает из мягких десневых тканей.
Патология в основном развивается у людей старшего возраста (после 40 лет), причем, чаще диагностируется у женщин.
Ангиоматозный
Представляет собой скопление в фиброзной ткани тучных клеток и кровеносных воспаленных сосудов с очень тонкими стенками. Основная причина его появления – частое травмирование слизистой. Локализуется около зубной шейки и может образовываться на любой челюсти.
Имеет совершенно гладкую или немного бугристую поверхность, красный цвет, мягкую консистенцию, развивается быстро и вызывает сильную кровоточивость даже от незначительного его травмирования. После удаления присутствует большая вероятность его повторного образования.
Разрастание тканей чаще наблюдается у детей, подростков и женщин в период беременности.
Акантоматозный
Самый редкий вид, который еще называется «периферическая амелобластома мягких тканей». Это безболезненное доброкачественное образование, появляется из зубных зачатков нижней челюсти. Оно появляется на поверхности десны в виде роговых жемчужин. После удаления наросту свойственен рецидивирующий рост (повторный).
Симптомы пульпита молочных зубов
Симптоматика пульпита у детей и взрослых может отличаться. Больного ребенка обычно беспокоят следующие симптомы, о которых расскажем ниже.
Зубная боль. При пульпите зуб болит при пережевывании пищи, во время чистки зубов, при попадании в рот холодной струи воздуха и в состоянии покоя в ночное время. При этом сильные обезболивающие ребенку давать нельзя, ему приходится постоянно мучиться. В период обострения заболевания ноющая боль беспокоит почти постоянно, периодически она становится резкой и пульсирующей. Если не начать лечение, болезнь может перейти в хроническую форму. Боль временно пропадает, но пульпит продолжает прогрессировать. Есть риск распространения воспаления на соседние ткани — десны, альвеолу и пр.
Припухлость щеки. Отеки при пульпите молочных зубов наблюдаются далеко не всегда. К тому же этот симптом может свидетельствовать о периодонтите или периостите. Однако и воспаление пульпы исключать не стоит. Поставить диагноз может только врач. Родители должны сразу же отреагировать даже на незначительную припухлость щеки у малыша и обратиться к доктору.
Повышение температуры тела. Если иммунитет сильный, то организм ответит на воспаление повышением температуры, чтобы уничтожить очаг инфекции. Она может повыситься до 38 °С. Ребенок становится вялым, плохо спит, не играет и ничем не интересуется. Лечить его с помощью жаропонижающих нельзя. Сначала можно показать малыша педиатру, в случае необходимости от направит его к детскому стоматологу.
Любой из этих симптомов должен стать поводом для визита к доктору. Лучше не затягивать с этим, так как пульпит может спровоцировать осложнения, которые помешают росту коренных зубов.
Причины возникновения
Этиология появления эпулиса изучена не полностью. К его образованию может привести гормональный сбой или перестройка, происходящая в организме (например, при беременности). Но среди основных факторов его развития специалисты называют регулярное травмирование слизистой и тканей десны.
Его могут провоцировать следующие факторы:
- выступающая или свисающая над десной пломба;
- массивные отложения камня;
- заостренные края разрушенных единиц;
- аномальный прикус;
- ошибка при производстве ортодонтических изделий и длительное пользование ими без корректировки;
- травмирование мягких тканей;
- плохая гигиена;
- ожоги слизистой (термические или химические).

Отдельно надо отметить, что 2 вида нароста – ангиоматозный и фиброзный – развиваются как ответ на хроническое воспаление при регулярном повреждении десны. Гигантоклеточный способен появляться самопроизвольно из кости или мягких тканей челюсти.