Вред от сосания пустышки
Несмотря на такие мощные аргументы в пользу пустышки, медики отмечают негативные последствия «силиконового друга»:
- Нарушение природной привычки пережевывания пищи;
- Частые колики, отрыжки;
- Неправильный рост зубов;
- Задержка речи и появление её дефектов, которые становятся заметны при произношении ребенком шипящих звуков;
- Задержка интеллектуального развития;
- Провоцирование психологической незрелости;
- Появление частых инфекционных заболеваний ротовой полости (стоматит, молочница);
- Отвлечение ребенка от восприятия окружающего мира.
Негативные последствия применения пустышек довольно условны, их изучают уже давно, однако точной статистики пока привести не удается.
Известный педиатр Евгений Комаровский также настаивает, что пустышка не несет никакого вреда ребенку, а желание отучить малыша от соски продиктовано извне: свекровью, соседями, прохожими, которые с укором взирают на маму и малыша с пустышкой.
Причина же негативных последствий, перечисленных выше, доктор видит в плохой экологии, наследственности, индивидуальных особенностях детского организма. Например, если по наследству ребенку передалась анатомически узкая челюсть, то зубной ряд так или иначе будет формироваться с отклонениями, и пустышка здесь совсем не причем.
Отучение методом резкого отказа
Если грудничок не готов к переменам и показывает своё несогласие капризами, то родителям не остаётся ни чего другого, как прибегнуть к радикальным мерам. Нужно просто забрать пустышку и приступить к отучению малыша от её поиска. Первое время он будет заменять её пальцами, игрушками и другими удобными предметами. Это неблагоприятная ситуация требует родительского вмешательства:
- Начинать отлучение необходимо только в подходящий период для малыша. Не нужно это делать во время прорезывания зубов или в момент болезни.
- Не прячьте соску. Объясните крохе её вред и вместе с ним отнесите её в мусорное ведро. Если выбрасывать пустышку малыш отказывается, уговорите его подарить её знакомому новорождённому.
- Расскажите сказку о доброй фее, которая попросила вашу пустышку для маленьких деток, живущих в волшебной стране. Сделайте все правильно и красиво, тогда ребёнок спокойно переживёт отсутствие соски и начнёт постепенно от неё отвыкать.
- Объясните, что она пропала, и предложите ребёнку вместе поискать её. В игровой форме приступите к разыскиванию пропавшей вещи. Малышу будет весело играть вместе с родителями. Вероятно, что во время игры он просто забудет о своей пропаже.
Выбор возраста для отлучения крохи от пустышки зависит только от родителей, и у каждого ребёнка этот момент может происходить в разное время.
Как отучить ребенка от пустышки
Отучить малыша от пустышки в любом возрасте реально, главное – чтобы у родителей было терпение пройти весь процесс от начала до конца. Рассмотрим несколько советов, которые помогут избавиться ребенку от привычки сосать соску.
Метод переключения внимания
Для быстрого отучения от пустышки можно воспользоваться физической и эмоциональной нагрузкой. Взять несколько дней отпуска и посвятить их только малышу. Проведите с ребенком первый день в активном отдыхе и с положительными эмоциями, затем выкупайте его в ванной с лавандовыми травами и уложите спать. При этом обязателен тесный контакт с родителями. Утомившись, ребенок и не вспомнит о пустышке, а утро следующего дня нужно начинать так же активно. Психологи утверждают, что уже через пять-семь дней малыш забудет о пустышке.

Елена (25 лет) рассказывает: «Дочка в возрасте 1,5 лет, гуляя с нами в зоопарке сама уронила соску, но не плакала из-за пропажи, потому что было на кого переключить внимание. Мы выбросили соску в урну, а Даша и забыла о пропаже
Странно, но с тех пор мы не вспоминали о пустышке».
Музыка как лекарство
Другой вариант переключения внимания – подарить ребенку музыкальный инструмент на котором можно поиграть ртом: губная гармошка, дудочка, даже простой свисток. Немного шума, но цель будет достигнута. К тому же, психологами доказана эффективность снятия стресса посредством звуков. Даже просто громко покричать будет полезно, чтобы выплеснуть негатив.
Плавный отказ от пустышки
- Чтобы постепенно и без стресса отучить ребенка от пустышки, нужно следовать правилам:
- Убирать из виду пустышку в дневное время. Чтобы малыш о ней не вспоминал днём, придумайте заранее разные занятия. Творчество и активные игры отлично сработают.
- Не брать пустышку на прогулку. Если малыш расплакался на улице, его можно отвлечь массой интересный вещей или событий происходящих вокруг: птичка полетела, собачка побежала. Нельзя в этот момент стыдить ребенка, иначе ему будет ещё обиднее.
- Старайтесь, чтобы ребенок и засыпать учился без соски. Во время подготовки ко сну он может подержать пустышку во рту, а вы пока почитаете ему сказку, споете колыбельную. Деткам старше 2-х лет можно рассказать поучительную историю о малыше и соске. Дайте простор вашему воображению, только не рассказывайте страшилок. После таких ритуалов предложите крохе вынуть соску и положить рядом. Если малыш отказывается, попросите поменять соску на любимую игрушку, которая поможет ему заснуть. Если кроха все же уснул с пустышкой, уберите её. Каждый день предлагайте малышу попробовать заснуть без соски, рано или поздно, он согласится.
Нельзя насильно вынимать пустышку из рта ребенка, если он не хочет с ней расставаться. Кроме истерики это ни к чему не приведет.

Ритуал прощания
Для некоторых детей будет интересен ритуал «прощания с соской». Если родители видят, что ребенок не страдает без соски, но по привычке не может с ней расстаться, нужно объяснить ему, что расставание с соской – неизбежность, но сделаем мы это как праздник. Для этого можно:
- Купить конверт, написать на нем адрес, например, «зайчонку в дремучий лес», положить соску в конверт, запечатать и отдать папе, который «отнесет ее на почту».
- Если ребенок не хочет ни с кем делиться соской, подойдет вариант «отправить соску в путешествие». Вариант исполнения подойдет как с конвертом, так и простое бросание в реку.
- После этого ритуала можно устроить небольшое «торжество». Если малыш вдруг вспомнит о пустышке, стоит сказать ему, что он уже взрослый и соска ему уже не понадобится. Это лишний раз укрепит веру ребенка в себя, и не будет травмировать его психику.
Резкое отучение от соски не приветствуется врачами, однако некоторые родители с успехом применяют этот метод на практике. Для этого всего лишь необходимо раз и навсегда убрать соску из поля зрения малыша. Если малыш будет сильно плакать, родители не должны идти на поводу и возвращать соску – уже через некоторое время ребенок и не вспомнит о ней.

Как нужно отучать?
Здесь все зависит от возраста ребенка. Чем он младше, тем мягче пройдет этот процесс. Отучить ребенка от пустышки, как уже говорилось, легче всего в районе полугода (или до года). В этом случае подойдут следующие способы.
Старайтесь показывать пустышку ребенку как можно реже
Если при этом начинаются капризы, переключайте внимание малыша на что-то более интересное: любимые игрушки (особенно резиновые, которые можно пососать и погрызть), качание на ручках. Можно покружить кроху, повеселить, спеть веселую потешку.
В этот период добавьте больше тактильного контакта в ритуал укладывания: больше гладьте, делайте расслабляющий поглаживающий массаж
Покачивая на ручках, пойте колыбельную.
Пытайтесь заменить потребность в пустышке чем-то другим. Например, плюшевой игрушкой, с которой кроха теперь будет засыпать.
Приучайте малыша самостоятельно пить из кружки. Когда он научится, потребность в сосании бутылочки (чтобы поесть или попить), а значит, и соски, быстро снизится.
Можно постепенно укорачивать соску до тех пор, пока ее станет совершенно неудобно брать в ротик. Тогда ребенок сможет отказаться от нее сам.
После двух лет привычка уже достаточно закоренела, избавиться от нее так просто не получится. Родителям потребуется выдумка, участие, такт и терпение для полного отучения от пустышки. Лучший вариант для этого – придумать правдоподобную с точки зрения малыша историю и рассказать ее с честными глазами.
- Во время прогулки пустышку украли для своих деток кошки (собаки, белки). Соска потерялась на прогулке или в общественном месте. Можно даже вернуться поискать ее, объяснив, что кто-то, видимо, уже подобрал ее.
- Покажите крохе «письмо» из «волшебного леса», в котором белка (лисичка, зайчиха) просит малыша подарить соску ее малышу, который постоянно плачет без нее. Объясните, что зверушка намного младше ребенка, ей соска важнее. Соберите «посылку» и «отправьте» ее зверям. Затем можно «получить письмо» из леса с огромной благодарностью от животных.
- Хорошо, если соска порвалась или сломалась сама. Тогда можно посочувствовать крохе, объяснив, что для таких взрослых деток соски уже не продают.
- Воспользуйтесь опытом западных стран, где придумали Пустышковую фею (наряду с Зубной). Она в положенное время забирает у крохи пустышку, оставляя взамен приятный подарок (желанную игрушку).
- Если на прогулке к вам подошла кошка или собака, объясните карапузу, что она просит соску для своего малыша. Пусть он добровольно отдаст ее животному, получив от мамы добрую порцию похвал – какой он взрослый, самостоятельный, сознательный и добрый ребенок.
Ломать привычки всегда сложно. Родители должны быть мудрыми, понимая, как непросто ребенку. Не уступать его желанию вернуться к пустышке, успокаивать, сочувствовать, хвалить за терпение.

Как помочь малышу забыть про соску?
Все дети разные: для одних лучше работают уговоры, для других – запреты, для третьих – постепенный отказ. Успех операции зависит не только от темперамента и возраста малыша, но и от решительности мамы.
Откажитесь постепенно
Самый логичный и очевидный способ. Лучше работает с детьми старше 1,5 лет. Постепенно ограничивайте время и место, где может использоваться соска. Сначала скажите малышу, что соску нельзя сосать на улице, потом откажитесь от использования пустышки в гостях и общественных местах, затем во время бодрствования вообще. Самый последний и сложный этап – отказ от соски во время засыпания на ночной сон. Главное, будьте последовательны и сохраняйте упорство. Если ваше «нельзя» на самом деле означает «иногда все-таки можно», то вряд ли этот метод поможет.
Запретите
Если вы все же решили отказаться от соски пока малышу еще не исполнился год, придется действовать решительно, ведь никакие объяснения в этом возрасте еще не действуют. Откажитесь от использования соски резко и навсегда. Если спустя 3 дня малыш все еще будет засыпать со слезами, возможно, придется вернуть пустышку на пару месяцев, а потом попробовать снова.
Не стоит отказываться от соски в периоды прорезывания зубов или болезни, во время отпуска, переезда, выхода мамы на работу и других стрессовых ситуаций. Нежелательно использовать этот способ для детей до года на искусственном вскармливании – вы просто не сможете предложить ребенку альтернативу для удовлетворения сосательного рефлекса.
Попрощайтесь
Этот вариант подходит для малышей после 2-2,5 лет. Придумайте убедительную легенду исчезновения сосок. Например, все соски унесла собачка (или любой другой зверь не выбор). Или их пришлось отдать соседскому малышу, у которого сосок не было, и он очень грустил. Или обменяйте пустышки на подарок от Деда Мороза/Волшебной феи/гномиков. Первое время ребенок, конечно, будет грустить, но, если он из тех детей, которые готовы слушать объяснения, способ должен сработать.
Потеряйте
Радикальный вариант для менее сговорчивых детей 2-3 лет и нерешительных мам. Лучше «терять» соски по одной. Приготовьтесь, скорее всего за потерей последней последуют слезы и несколько бессонных ночей. Очень рекомендуем действительно выбрасывать соски, чтобы самой не пойти по пути наименьшего сопротивления и не передумать.
Уговорите
Хорошо срабатывает с детьми в возрасте около 3 лет, особенно с теми, кто отчаянно стремится к самостоятельности. Если ребенок поддерживает идею о том, что он «уже не малыш», просто объясните, что большим мальчикам/девочкам соски не нужны. Только ни в коем случае не надо стыдить и высмеивать ребенка. Это отличный вариант для детей со старшими братьями или сестрами, на которых малыш хочет быть похожим.
-
AAP: American Academy of Pediatrics Announces New Safe Sleep Recommendations to Protect Against SIDS, Sleep-Related Infant Deaths
-
PediatricsVolume 96, Issue 5 I, 1995. A pacifier increases the risk of recurrent acute otitis media in children in day care centers
-
Eur Arch Paediatr Dent. 2018 Jul 27. Malocclusion prevention through the usage of an orthodontic pacifier compared to a conventional pacifier: a systematic review
-
American Academy of Pediatric Dentistry: Policy on Oral Habits
При использовании любых материалов с сайта nutriclub.ru ссылка на сайт обязательна.
Nutriclub, 2020
Почему следует отказаться?
Самое распространенное мнение, которое работает не в пользу соски – это что при ее длительном сосании у ребенка начнет формироваться неправильный прикус
Очень важно проследить за тем, сосет ли ребенок пустышку или просто держит ее во рту. Это можно проверить вытащив ее изо рта карапуза
Если он ее до этого сосал, послышится характерное причмокивание, а если нет, то она извлечется беззвучно. Неправильный прикус грозит только тем детям, которые интенсивно сосут соску. Из-за нее у них могут начать неправильно расти молочные зубы. В остальных случаях соска не наносит ребенку никакого вреда, поэтому родители могут не переживать.
От соски необходимо отказываться тогда, когда ребенок начнет ходить, так как если он будет продолжать использовать этот гаджет, с него могут начать смеяться более старшие дети, что приведет к сильному стрессу и десоциализации карапуза.
Несмотря на то что от пустышки нужно отказываться во избежание негативных последствий, делать это нужно, только подстраиваясь под карапуза. Так как каждый ребенок индивидуален, следует постараться подобрать такой способ, который позволит малышу безболезненно отказаться от антистресса расставшись с ним на позитивной волне.

Почему дети сосут соску и пустышку
Привязанность ребенка к соске объясняется, в первую очередь, безусловным сосательным рефлексом новорожденного. Потребность в сосании формируется в утробе матери и позволяет младенцу после рождения удовлетворять голод материнским молоком. Это базовый навык, благодаря которому ребенок имеет возможность добывать пищу. Сосательный рефлекс ярко выражен, и, если мать не готова постоянно прикладывать отпрыска к груди или предпочитает кормить смесью, на помощь приходит соска.
Пустышка помогает:
- удовлетворить потребность в сосании;
- унять болевые ощущения при коликах, прорезывании зубов;
- успокоиться при нервном перенапряжении, возбуждении;
- почувствовать психологический комфорт, как при сосании материнской груди;
- быстро уснуть без слез и капризов;
- избавить от сосания пальца, края пеленки и всего, попадающегося под руку.

За потребность в соске отвечает сосательный рефлекс
Изначально, в младенческом возрасте, основной причиной нежелания малыша расставаться с соской является физиология. Потом, по мере взросления, привязанность переходит в психологическую плоскость. Если родители дают пустышку при каждом мало-мальски трудном случае, лишь бы ребенок не плакал, то он в дальнейшем будет ее требовать ежечасно. Это уже укоренившаяся привычка сосать соску, если больно, плохо, страшно, хочется спать или просто для развлечения. Успокоить малыша без любимого кусочка резины или силикона практически нереально.
Пустышка: хорошо или плохо?
Так все-таки пустышка – это добро или зло? И то, и другое. Поэтому родителям, прежде чем приучать свое чадо к этому «заменителю», стоит взвесить все «за» и «против».
Итак, чем хороша пустышка?
- Она помогает удовлетворить сосательный рефлекс малыша – первый и основной в его жизни. Особенно актуально это, когда кроха находится на искусственном вскармливании и смесь попадает из бутылочки в его желудочек очень быстро, когда он еще не успел как следует насосаться. Или когда его кормят по расписанию, а не по требованию. Сосание дает ребенку ощущение покоя и безопасности, поэтому он быстро успокаивается и легче засыпает.
- Сосание соски помогает укрепить мышцы рта ребенка. Особенно актуально это для недоношенных деток, чьи рефлексы ослаблены. Сильные мышцы ротовой полости помогают ребенку активнее сосать, и он быстрее набирает вес.
- Пустышка лучше в том смысле, что малыш не начнет удовлетворять свой сосательный рефлекс с помощью пальца. Ведь его, в отличие от соски, нельзя «потерять», «подарить», «забыть» у кого-то. Отучить малыша от сосания пальца во много раз сложнее.
А вот минусов у соски гораздо больше.
- Если ребенка рано приучать к пустышке, неизбежно возникают проблемы с правильным прикладыванием к груди. Поэтому лучше сначала научить его брать грудь, а потом знакомить с соской. Кроме того, при неправильном сосании груди ребенок недополучает важные питательные элементы и ферменты, содержащиеся в «заднем» молоке.
- Кроха довольно быстро привыкает к пустышке и затем постоянно нуждается в ней. Он начнет просыпаться по ночам и плакать, если выронит ее во сне. Станет заменять сосанием пустышки общение с родными.
- Постоянно следить за чистотой соски довольно сложно, поэтому возможны инфекционные заболевания (дисбактериоз, молочница, даже воспаление среднего уха).
- Длительное использование соски, даже ортопедической, может спровоцировать развитие неправильного прикуса, как результат – дефектов речи.
- Ребенок может забыть разницу между соской и грудью и начнет «засасывать» пустышкой чувство голода.
- Если ребенок сосет пустышку после двух лет, это может сказаться и на развитии речи (зачем говорить, когда ротик занят?).
- Чувство любви, покоя, благодарности, нежной привязанности ассоциируются у детей с сосанием маминой груди. Если его заменять соской и бутылочкой, то часть этих эмоций переносится на «сосательные заменители».

Правильное отучение малыша в 2 года
Когда малышу исполняется 2 года, и он пользуется соской, окружающие начинают реагировать на это с осуждением.
Некоторые дети в этом возрасте уже ходят в садик, поэтому воспитатели просят отучить ребенка от соски.

Существует несколько действенных способов и правильных рекомендаций:
Способ
Подробное описание
Придумывание сказки
Родители оценили эффективность способа. Детям рассказывают поучительную сказку о фее из волшебной страны.
Она приносит малышам соски. Большие дети помогали и ночью оставляли пустышки.
Она их забирала и дарила подарок. Можно придумать свою поучительную историю
Важно проявить немного фантазии
Небольшая хитрость
Можно сказать, что соска потерялась или она забыта в гостях. Если малыш спокойно реагирует на пропажу, не нужно показывать ему пустышку.
Когда он не может успокоиться в течение длительного времени, необходимо отдать ему соску
Сильный стресс приносит вред, поэтому через время попытку можно повторить
Сообщение о поломке
Нужно самостоятельно отрезать резиновую часть от соски, и дождаться того момента, когда малыш начнет просить пустышку.
Необходимо показать ему, что его любимая вещь сломалась и не подлежит ремонту. Новые соски продают совсем маленьким детям
Чтобы отучение было быстрым и безболезненным для малыша, нельзя повышать на него голос, шлепать по рукам.
Не стоит практиковать страшные истории, когда детей забирали за долгое использование пустышки. Нельзя стыдить, дразнить и указывать на неполноценность.
Плюсы и минусы использования соски
Малыш начинает сосать свой пальчик еще в животе у мамы. В первые месяцы и годы жизни ребенка сосательный рефлекс очень сильный. До года детям, которые не сосут грудь матери, пустышки удовлетворяют их инстинкт сосания. Если нет соски, нет груди, то есть вероятность того, что ребенок начнет сосать большой палец руки, а эта привычка значительно серьезнее, чем привычка к пустышке. Поэтому вопрос, стоило ли приучать ребенка к соске или нет, совсем неоднозначный и имеет свои плюсы и минусы.
Преимущества соски и каким детям она нужна
- Капризным и беспокойным младенцам пустышка нужна для успокоения.
- Ребенок быстрее засыпает, ему не нужно целый час лежать у маминой груди.
- Пустышка отвлекает малыша во время проведения неприятных процедур, например, вакцинации, переодевания.
- Значительно проще отучить ребенка сосать соску, чем собственный палец, потому что пустышку можно убрать, спрятать, порезать и выбросить.
- При прорезывании зубов ребенок при помощи соски массирует себе десна, уменьшает неприятные ощущения.
Негативные моменты пустышки
Хотя уже научно доказано, что соска не вызывает кривизны зубов и не меняет прикуса, однако есть определенные негативные моменты этой привычки:
- Ребенок, который не желает отказываться от пустышки, позже начинает разговаривать, чем другие ровесники. Соска во рту у малыша мешает повторять звуки и слова, которые произносят взрослые. Отсутствие развития речи и навыков общения ведет к более позднему развитию мышления.
- Иногда сосание помогает малышу компенсировать недостаток родительской любви и внимания и после разлуки с соской ребенок чувствует себя одиноким.
Недопустимые методы отучения от соски
Интересуясь, как правильно отучить ребенка от соски, обязательно необходимо ознакомиться с распространенными ошибками, которых нельзя допускать родителям.
Серьезный вред ребенку могут нанести такие недопустимые методы родителей, желающих быстрее разлучить малыша с пустышкой:
1. Смазывание соски различными горькими веществами – перцем, горчицей, чесноком. Кроме того, что вкус этих пряностей не может быть приятный детям, они могут вызвать аллергическую реакцию и привести к отеку гортани.
2. Иногда мамы разрезают соску по типу ромашки. Такой необдуманный шаг опасный для здоровья и жизни ребенка: во рту малыша в таком возрасте обычно уже есть несколько острых зубок, поэтому он может откусить кусок латекса и проглотить его или подавиться.
3. В период отучения от сосания пустышки нельзя кричать на малыша, когда он ее требует
Важно проявлять спокойствие, ведь ребенок испытывает в этот период эмоциональный стресс без своего «успокоителя»
4. Если у малыша режутся зубки или он заболел, нельзя начинать отучать от любимого занятия, с этим следует немного повременить.
Ознакомившись с этими рекомендациями, как безболезненно отучить ребенка от соски, переход на новый этап в развитии малыша может пройти максимально легко и быстро.
Отучаем ребенка 3 лет
Далеко не все родители обращают внимание на пустышки, поэтому многие дети в три года еще используют соски. Конечно, это не является отклонением в развитии, однако стоит задуматься и начать отучать ребёнка от этой привычки
В данной ситуации отказ от пустышки в три года должен быть мгновенным, окончательным и бесповоротным.
Вы просто должны сказать своему ребёнку, что с этого дня пустышку он больше не использует, потому, что он уже взрослый и она ему не нужна. Ответ должен быть чётким, лаконичным и ни в коем случае не травмировать психику ребёнка.
Лучше всего искусственно создать ситуацию, когда соска будет потеряна, либо умышленно выброшена, то есть вернуть ее больше нельзя, поэтому жить нужно по-новому. После того, как объект будет выброшен и малыш поймёт, что всё его больше нет и заменить нельзя, нужно купить сладкое угощение, либо интересную игрушку, чтобы поощрить старания дитя. Этот способ на сегодняшний день является саамы действенным и быстрым, хотя подходит только для взрослых малышей.
Используя данные знания и научные наработки, каждый родитель сможет сделать правильный выбор в пользу того или иного метода. Главное внимательно наблюдать за своим ребёнком и найти нужные слова, чтобы объяснить ему необходимость отказа от пустышки.
В каком возрасте пора отучать и почему
Споры вокруг пустышки не утихают ни на минуту. Причем спорят не только опытные и начинающие мамы, но и сами специалисты. С одной стороны, соска – это зло. Она портит прикус, что в свою очередь, влечет за собой неправильное произношение звуков. К тому же роль играет психологический аспект: считается, что дите, занятое ею, меньше нуждается в познании мира и хуже развивается.
С другой стороны пустышка помогает реализовать сосательный рефлекс, тем самым улучшая аппетит ребенка, и в этом ее основное преимущество. А еще, все дети любят засыпать с пустышкой. Если ее нет, в ход идет грудь. Это не всегда удобно, уверяют мамы из опыта. Например, если ребенок на улице захотел спать, придется искать укромное местечко, чтобы его подкормить и успокоить.
Подытоживая все вышесказанное, хочется отметить, что она нужна и важна, но до поры до времени. Знаете, когда нужно отучать от нее? По словам психологов, начинать следует уже с 3 месяцев. Тогда при условии правильно прилагаемых усилий, малыш полностью откажется от пустышки уже в год. Раньше лишать его любимой игрушки нельзя. Будут лезть зубы, и кроха будет тянуть в рот все, что попадется ему под руку.
К слову, эти рекомендации не всегда можно выполнить на практике. Есть дети, которые к 2 – 3 месяцам только начинают активно брать соску. Есть и еще более поздние. Были прецеденты, когда дети брали соску в момент прорезывания зубов для почесывания десен.
Интересно, что когда речь идет о пустышке, работать против нее никогда не поздно. Итак, оптимальное время для отказа – до года. Если не смогли или не успели, можно продлить до полутора лет. Крайний срок отучения – в 2 года. Есть, правда, дети, которые не могут расстаться с соской и позже, но равняться на них не стоит. В противном случае история, как у моих знакомых, может повториться.
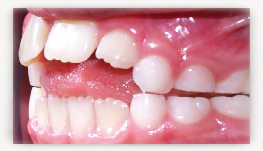
Считается, что главная опасность слишком долгой любви крохи к пустышке — это испорченный прикус и разнообразные проблемы с зубами. Наглядно это можно увидеть на фото.
















































