Содержание
Зубной налет – предвестник камнеобразования и развития серьезных патологий (кариеса, пульпита). Эта проблема считается главной причиной неприятного запаха изо рта, который не может устранить даже регулярная чистка зубов.
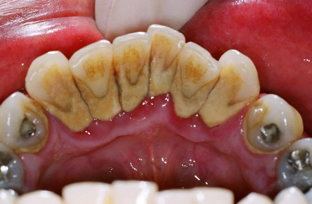
Пятна на зубной поверхности могут появляться даже при тщательном соблюдении всех гигиенических мероприятий. На эмали сначала формируется желтоватая полоска, которая со временем темнеет.
Цвет и интенсивность могут варьироваться в значительной степени (в зависимости от причинного фактора):
- Белый цвет — самая благоприятно протекающая форма, не приводящая к разрушению эмали при соблюдении обычных гигиенических процедур.
- Коричневый оттенок самый распространенный среди курильщиков. Налет встречается среди людей, длительное время контактирующих с медными, латунными и бронзовыми предметами. Этот тип патологии характерен для молочных зубов.
- Зеленый цвет характерен при размножении бактерий, выделяющих в процессе своей жизнедеятельности много хлорофилла.
- Черный — наиболее распространенный, возникающий из-за вредных привычек и неправильного питания. Может свидетельствовать о тяжелых патологических процессах во внутренних органах (печени, селезенки).
Стадии кариеса — когда возникает пульпит молочных зубов
Кариес молочных зубов развивается по 4 стадиям, как и все остальные виды этого заболевания. Отличие в том, что временные зубы более хрупкие, а потому патология прогрессирует быстро. Твердые ткани могут быть разрушены всего за несколько месяцев, а при остром протекании болезни — за 3-4 недели.
Первая стадия характеризуется образованием участка деминерализации, который выглядит как белое пятно. Эмаль в этой области становится пористой и шероховатой, но заметить это невооруженным глазом практически невозможно, особенно если кариес появился между зубами, на корне или шейке. Болезнь не сопровождается болью, дискомфортом и другими симптомами. Иными словами, жалоб у человека нет, поэтому выявить патологию на этом этапе удается обычно только при профилактическом осмотре. Если есть подозрение на кариес, стоматолог наносит на зубную поверхность краситель, который окрашивает белые пятна в фиолетовый цвет.
К сожалению, не все родители приводят детей на стоматологический осмотр каждые 4 месяца, поэтому кариозный процесс продолжает прогрессировать. На второй стадии, поверхностной, кариес проникает вглубь эмали, но остается в ее границах. Кариозной полости еще нет, но белое пятно постепенно темнеет и становится коричневым или желтоватым. Также повышается чувствительность зуба к сладкому. Ребенок может и не жаловаться на это. Родители должны периодически осматривать его зубы. В случае обнаружения темных пятен нужно отправиться к дантисту.
На третьей стадии образуется кариозная полость, свидетельствующая о том, что кариес проник в дентин. Больной зуб становится еще более чувствительным и болезненно реагирует на перепады температур, кислую и сладкую пищу и зубную щетку. Пульпит на этой стадии, как правило, не возникает, так как пульпа защищена твердыми тканями. Однако риск возникновения воспаления значительно возрастает. К тому же кариес на молочных зубах при отсутствии профилактики и наличии располагающих для этого факторов стремительно прогрессирует.
Четвертая стадия характеризуется глубоким поражением дентина, что сопровождается частыми болями при контакте зуба с едой, холодным воздухом, горячими напитками и пр. Игнорировать или не замечать эти симптомы ребенок не может, он обязательно скажет, что у него болят зубы. Скорее всего, будет отказываться от еды и капризничать. Сложно не заметить кариозную полость и при внешнем осмотре. Она представляет собой большую дыру почти черного цвета. У больного постоянно неприятно пахнет изо рта даже после чистки зубов.
Четвертая стадия кариеса опасна тем, что может в любой момент спровоцировать воспаление пульпы, то есть пульпит. Рассмотрим подробнее эту патологию.
Когда нужно обратиться к стоматологу
Чтобы предотвратить заболевания десен и другие проблемы со здоровьем полости рта, запланируйте регулярные чистки зубов и обследования, включающие рентген. Тем временем обратитесь к своему стоматологу, если вы заметили какие-либо признаки или симптомы, которые могут указывать на проблемы со здоровьем полости рта, такие как:
-
Красные или опухшие десны
-
Десны, которые кровоточат, когда вы чистите зубы щеткой или зубной нитью
-
Десны, которые начинают отделяться от ваших зубов
-
Свободные постоянные зубы
-
Необычная чувствительность к горячему и холодному
-
Стойкий неприятный запах изо рта или необычный привкус во рту
-
Болезненное жевание
Помните, что раннее выявление и лечение проблем с деснами, зубами и ртом может помочь обеспечить хорошее здоровье полости рта на всю жизнь.
Причины пульпита молочных зубов
Итак, основная причина развития воспаления мягких тканей зуба — это вовремя невылеченный кариес. Микробы, которые находятся внутри кариозной полости, проникают в пульпу и вызывают инфекцию, вследствие чего развивается воспалительный процесс. К возникновению пульпита молочных зубов могут привести и другие причины:
- Инфекционное заболевание, перенесенное ребенком: на фоне снижения иммунитета и активного размножения бактерий при общей инфекции возможно инфицирование пульпы.
- Травма молочного зуба: повреждение твердых тканей во время игр, драк, спортивных занятий или чистки зубов приводит к обнажению пульпы, в результате чего в нее попадают кариесогенные и другие микробы.
- Врачебные ошибки при лечении кариеса: пульпит может стать следствием неправильно установленной пломбы, перегрева зубных тканей в ходе препарирования или чрезмерной антисептической обработки кариозной полости.
Многие родители полагают, что у маленького ребенка пульпит не возникает, однако он развивается даже у 2-летних детей. В 2 года обычно воспаление возникает на резцах, а в 3-4 года — на премолярах и молярах. Пульпит жевательных зубов встречается в несколько раз чаще, чем воспаление зубных нервов резцов.
Как убрать налет с зубов?
Эмаль с течением времени повреждается, на твердой поверхности образуются микроскопические трещинки и сколы. Именно здесь создаются благоприятные условия для скопления остатков пищи и размножения бактериальной флоры. Даже тщательная чистка и лечебная паста не всегда способна справиться с устранением патологического процесса.

Со временем образование твердеет – формируется зубной камень, который невозможно удалить в домашних условиях без помощи квалифицированного стоматолога.
Чтобы эффективно решить вопрос «Как убрать налет с зубов?», следует точно определить локализацию патологического процесса:
- Зубнодесневой патологический процесс развивается на коронке около десен.
- Проксимальный вариант – скопление отложений в местах контакта боковых стенок.
- Поддесневой – визуально определить его крайне трудно. Патологический процесс протекает под деснами, приводя в короткие сроки к развитию осложнений.
Как убрать черный налет на зубах?
Пятна черного цвета формируются при злоупотреблении кофе, черным чаем, алкогольными напитками и наркотическими веществами. Формируется на протяжении многих лет (иногда в течение всей жизни). Если диагностируется в детском возрасте, то чаще имеет грибковую природу (причина – дисбактериоз). Часто возникает после перенесения тяжелых вирусных инфекций.
Как убрать черный налет на зубах:
- Удаление с помощью лазера – наиболее эффективный и щадящий способ, позволяющий надолго избавиться от дефекта. Процедура абсолютно безболезненная, не повреждает эмаль, позволяет избежать кровотечения.
- Ультразвуковая очистка – метод выбора для ослабленной эмали. Действует очень мягко, устраняет даже твердые отложения (в том числе и зубной камень).
- Домашние средства – регулярное использование лечебных паст с высоким содержанием фтора.
- Отличная профилактика – регулярное употребление в пищу свежих фруктов и овощей (особенно полезны морковь и яблоки). Эти продукты оказывают существенную помощь полости рта, предотвращая пятнообразование и улучшая кровообращение десен.
Как убрать желтый налет на зубах?

Желтые отложения на поверхности эмали – наиболее доброкачественные, они легко поддаются удалению и редко трансформируются в камень, отличаются рыхлой структурой. Регулярная чистка жесткой щеткой и отбеливающими пастами поможет эффективно избавиться от отложений и придать улыбке сверкающую белизну.
Главное условие – приобретайте только профессиональную пасту в аптеках или специализированных отделах магазинов. Пользоваться лечебными пастами нельзя постоянно – достаточно месячного курса, проводимого однократно в полугодие.
Как убрать желтый налет на зубах при помощи домашних средств? Можно воспользоваться обычной пищевой содой – тщательно почистите ротовую полость средством в течение 2-3 минут до привычной чистки. Чтобы не повредить эмаль, следует использоваться этот метод раз в неделю.
Как убрать налет с внутренней стороны зубов?
Отложения на внутренней поверхности образуется в результате скопления остатков пищи и вредоносных бактерий, которые интенсивно размножаются, разрушая в результате своей жизнедеятельности эмаль. Если своевременно не проводить очищающие процедуры, процесс распространяется на десны и костные структуры челюсти, приводя к тяжелым патологиям и преждевременной потере зубов.
Как убрать налет с внутренней стороны зубов? Важно регулярно пользоваться электрической зубной щеткой, очищая полость рта под наклоном в 45 градусов. Усилить лечебный эффект пасты можно при помощи специальных ультразвуковых щеток.. В качестве народных методов можно рассмотреть метод очищения полости рта при помощи измельченного активированного угля, смеси пищевой соды и 3% перекиси водорода
Но этот способ категорически не подходит при ослабленной эмали.
В качестве народных методов можно рассмотреть метод очищения полости рта при помощи измельченного активированного угля, смеси пищевой соды и 3% перекиси водорода. Но этот способ категорически не подходит при ослабленной эмали.
Зубная нить для здоровья полости рта
Невозможно добраться до бактерий в узких местах между зубами и под линией десен с помощью зубной щетки
Вот почему так важно ежедневно чистить зубы зубной нитью. Когда вы чистите зубы зубной нитью:
Не скупитесь. Оторвите 35-40 сантиметров зубной нити. Намотайте большую часть нити на средний палец с одной стороны, а остальную-на средний палец с другой стороны. Крепко зажмите зубную нить между большими и указательными пальцами.
Будь аккуратны. Проведите зубную нить между зубами растирающими движениями. Не втыкайте зубную нить в десны, вы можете их повредить. Когда зубная нить достигнет линии десен, оберните ее вокруг одного зуба, сделав с-образную форму.
Чистите по одному зубу за раз. Вставьте зубную нить в пространство между десной и зубом
Используйте зубную нить, чтобы осторожно потереть боковую часть зуба движением вверх и вниз. Размотайте свежую зубную нить по мере продвижения к остальным зубам.
Если вам трудно обращаться с зубной нитью, используйте средство для чистки межзубных промежутков — например, зубочистку, крошечные щетки, которые проникают между зубами, водную зубочистку или деревянное или силиконовое средство для удаления зубного налета.
Полезные рекомендации родителям
Детские психологи, заручившись помощью детских стоматологов, разработали не один список рекомендаций, существенно облегчающих процесс приучения ребенка к чистке зубов. Родителям на заметку – самые интересные советы из этих списков.

-
Нельзя давить. Это вызовет в малыше ответный отпор. Больше юмора, терпения, готовности к разговору и понимающих взглядов со стороны старшего – это располагает любого малыша. Просто кого-то быстрее, кого-то не сразу.
-
Свой пример обязателен. Ребенок должен видеть, как с удовольствием и как старательно родители чистят зубы каждое утро и каждый вечер. Под музыку, пританцовывая, улыбаясь себе в зеркале – как угодно, но такое позитивное подкрепление тоже работает.
-
Фиксация успехов. Всем нужна похвала, а уж детям – вне сомнений. И устная прежде всего. Подарки – это хорошо, но не все старания должны иметь материальное вознаграждение. А вот искренний родительский восторг, умиление, восхищение так же важны для малыша, они очень много говорят ему о себе и выстраивают теплые отношения со старшими.
-
Приучение к походам к стоматологу. Пусть это идет в параллели с обучением чистке зубов. Чем раньше малыш поймет, что у врача весело, познавательно и не больно, тем больше вероятности, что эта ассоциация будет на всю жизнь. Не стоит оттягивать момент посещения стоматолога и делать его сакральным: чем легче и веселее, тем меньше страха у ребенка. Конечно, врача нужно подобрать хорошего.
-
Немного волшебства. В продаже есть детские пасты, которые во время чистки меняют цвет. Пена становится зеленой, и этот фокус возможен, только если почистить зубы. Детей такая фантастика не оставляет равнодушными.
-
Соревнуемся. Кто лучше чистит – ребенок или папа, можно провести такое соревнование. Конечно, папе придется играть в поддавки, но это ради общего дела. Мама-судья строго и справедливо вынесет вердикт, победителю слава и почесть. И пусть он еще поучит папу, который вдруг забыл правила чистки.

Получается, что все графики, календари чистки, строгие правила нужны родителям, а малыш постигает такие вещи в игровой форме. И если мамы и папы будут помнить об этом, с гарантией почти в 100% проблем с обучением гигиене полости рта в семье не будет.

Как убрать налет с зубов у ребенка?
При обычном белом или желтоватом налете ротовая полость ребенка не нуждается в профессиональной чистке. В этом случае хрупкая детская эмаль требует регулярного и тщательного ухода.
При появлении черных или коричневых пятен следует обратиться за помощью к стоматологу. Как убрать налет с зубов у ребенка?
- Ультразвуковая чистка эффективно сбивает даже интенсивный налет. Детям процедура проводится под местной анестезией. Малышам до года манипуляция противопоказана.
- Струйная очистка с использованием абразивных веществ (соды) разрешена с семи лет. При воспалительных процессах ротовой полости и общих хронических заболеваниях (особенно в период обострения) процедура противопоказана.
- Ручной метод очищения используется в тех случаях, когда невозможно проведение ультразвукового или струйного лечения. Используется профессиональный набор инструментов, при помощи которых стоматолог вручную счищает образования.
Как убрать налет между зубами?
Профессиональные методики чистки помогут разрешить такую проблему, как убрать налет между зубами:
- Самый доступный и безопасный метод ликвидации проблемы – ультразвуковая чистка межзубных промежутков. Этот способ удаляет существующие отложения, убивает болезнетворные микроорганизмы и прекрасно полирует эмаль, предотвращая развитие пятен на некоторое время.
- Лечение при помощи методики Air Flow. Суть процедуры заключается в нанесении на поверхность проблемных участков смеси воды, воздуха и соды. Полировка происходит под давлением, налет удаляется даже с труднодоступных мест.
- Лазерная очистка – дорогостоящий, но эффективный метод, не повреждающий эмаль и бережно снимающий отложения с поверхности зубов. Длительность сохранения эффекта – около года, возможно повторное проведение процедуры при запущенном процессе.
Симптомы пульпита молочных зубов
Симптоматика пульпита у детей и взрослых может отличаться. Больного ребенка обычно беспокоят следующие симптомы, о которых расскажем ниже.
Зубная боль. При пульпите зуб болит при пережевывании пищи, во время чистки зубов, при попадании в рот холодной струи воздуха и в состоянии покоя в ночное время. При этом сильные обезболивающие ребенку давать нельзя, ему приходится постоянно мучиться. В период обострения заболевания ноющая боль беспокоит почти постоянно, периодически она становится резкой и пульсирующей. Если не начать лечение, болезнь может перейти в хроническую форму. Боль временно пропадает, но пульпит продолжает прогрессировать. Есть риск распространения воспаления на соседние ткани — десны, альвеолу и пр.
Припухлость щеки. Отеки при пульпите молочных зубов наблюдаются далеко не всегда. К тому же этот симптом может свидетельствовать о периодонтите или периостите. Однако и воспаление пульпы исключать не стоит. Поставить диагноз может только врач. Родители должны сразу же отреагировать даже на незначительную припухлость щеки у малыша и обратиться к доктору.
Повышение температуры тела. Если иммунитет сильный, то организм ответит на воспаление повышением температуры, чтобы уничтожить очаг инфекции. Она может повыситься до 38 °С. Ребенок становится вялым, плохо спит, не играет и ничем не интересуется. Лечить его с помощью жаропонижающих нельзя. Сначала можно показать малыша педиатру, в случае необходимости от направит его к детскому стоматологу.
Любой из этих симптомов должен стать поводом для визита к доктору. Лучше не затягивать с этим, так как пульпит может спровоцировать осложнения, которые помешают росту коренных зубов.
Профессиональная чистка зубов
Чистка зубов и чистка зубов нитью в домашних условиях – хороший способ удалить зубной налет. Но бывает трудно достать зубной налет, который скапливается между зубами и вдоль линии десен. Кроме того, только стоматолог сможет удалить затвердевший зубной налет.
Профессиональная чистка зубов более тщательна, чем домашняя чистка. Это связано с тем, что ваш гигиенист может использовать специальный инструмент, называемый скейлером, для аккуратного удаления зубного налета и зубного камня.
Регулярная чистка зубов избавит вас от всех неприятностей, которые могут уменьшить сияние вашей улыбки. Чистка зубов также удаляет поверхностные пятна, а если вы хотите отбелить зубы, чистка подготовит их к лечению.
Профессиональная чистка зубов сохраняет вашу улыбку сияющей.
Как проводится профессиональная чистка зубов
Профессиональная чистка зубов – это часть обычного стоматологического ухода, который человек должен проходить каждые шесть месяцев. Перед началом чистки стоматолог оценивает состояние ротовой полости, десен и зубов, выполнив следующие действия:
Что такое кариес: причины и факторы развития у детей
Кариес возникает вследствие активного размножения в ротовой полости кариесогенных микробов. Дети заражаются ими от взрослых, после чего эти микроорганизмы становятся частью микрофлоры человека. По ряду причин кариозное поражение развивается на молочных зубах чаще, чем на коренных. К этим причинам относятся:
- Неправильная и нерегулярная чистка зубов. Гигиеническая процедура по очищению полости должна проводиться дважды в день — утром и перед сном. При этом чистить зубы нужно правильно, а не просто водить щеткой из стороны в сторону. Родители должны научить детей к регулярной гигиене и следить за правильностью выполнению чистки. В противном случае кариес и другие зубные патологии будут возникать у них часто.
- Неокрепшая эмаль. На молочных зубах она очень тонкая, поэтому они более уязвимы перед внешними факторами, в том числе перед кариесогенными бактериями.
- Неправильное питание. Дети часто едят сладости, после употребления которых начинается быстрое распространение кариесогенных микробов. Они питаются углеводами и выделяют вещества, которые разъедают эмаль, нарушают pH ротовой жидкости и вымывают из эмали минералы, мешая ей восстанавливаться. Она становится мягкой и рыхлой. Микробам проще разрушить ее структуру и проникнуть сначала в дентин, а затем и в пульпу.
- Скученность зубов, неправильный прикус, глубокие и узкие фиссуры. Если в ротовой полости образуется много труднодоступных мест, которые сложно очистить от остатков еды и бактерий, у ребенка часто развивается межзубной и фиссурный кариес. Кариозное поражение, возникающее между зубами, является одной из основных причин возникновения пульпита.
Существуют и другие факторы риска развития кариеса молочных зубов: слабый иммунитет, истираемость эмали, предрасположенность к стоматологическим болезням и пр. Зачастую эта патология возникает вследствие воздействия на зуб нескольких факторов, основными из которых являются бактерии и несоблюдение правил гигиены.
Пульпит при кариесе возникает не сразу, а только после проникновения патологического процесса в дентин и мягкие ткани внутри зуба. Происходит это на четвертой стадии.
Профилактика кариеса и пульпита у детей
Чтобы предотвратить заболевания зубов у ребенка, нужно придерживаться ряда правил:
- Каждые 4 месяца приводите его на стоматологический осмотр. Убедите малыша, что к врачам ходят все, в том числе взрослые, чтобы у него не было страха перед стоматологами.
- Следите за гигиеной ребенка. Научите его правильно чистить зубы, каждый месяц меняйте зубную щетку, покупайте только специальные детские зубные пасты: Splat Kids, R.O.C.S. Kids, Weleda с календулой и др.
- Ограничьте потребление сладостей. Включите в рацион пищу, богатую микроэлементами, прежде всего — кальцием.
- Вовремя лечите все детские заболевания, приводите маленького пациента в поликлинику при первых симптомах любой патологии, не пытаясь избавиться от нее народными средствами.
Ведите здоровый образ жизни и станьте примером для своего ребенка. Благодаря этому болеть он будет намного реже.
Как обучить правильно чистить зубы?
Допустим, малыш понял важность процедуры, не спорит с родителями и активно отправляется в ванную. Но еще важнее, правильно ли он чистит зубы, не стала ли процедура формальной

Время, отведенное на чистку, – 2 минуты как минимум. Для малыша можно увеличить до 3-х минут, потому что он еще нерасторопен. Процедура проводится утром и вечером, никак иначе.

Разберем по пунктам правила чистки зубов для малышей.
-
Зубную щетку держать нужно под углом в 45 градусов. Сначала родитель показывает на себе, потом ставит руку малышу. Чтобы малыш не сбивался с курса, можно показывать технику на игрушке: мама держит мишку и щетку в его лапе и отмечает, как правильно мишка держит щетку. Ребенок с удовольствием повторяет самостоятельно.
-
Движения щетки – выметающие, идущие от десны к краю зуба. Это удобно показывать в книжке с объемными изображениями.
-
Зубки чистим снаружи и внутри, не «обижая» ни одну из сторон. И обязательно чистим язык, ведь процедура относится к гигиене полости рта, а значит, необходимо привести в порядок и зубки, и язычок.
-
Жевательная поверхность зубов очищается поступательными круговыми движениями. Ребенок повторяет за взрослым. Можно назвать это движение «покружимся» – малыш с удовольствием кружит щеточкой по поверхности зуба. Можно делать это под счет.
-
Смыкая челюсть, нужно помассировать десны. Ребенку объясняют, что десны – это словно грядочки, из которых растут зубки. И их обязательно нужно пропалывать, только нежно и аккуратно.

Научить правильно чистить – дело не одного дня. Нельзя торопить и ругать малыша, который не сразу все понимает, делает неуклюже и расстраивается из-за своих промахов. Это обучение, со своими успехами и неудачами. Конечно, кроху нужно мотивировать. Например, с внутренней стороны двери ванной комнаты прикрепить «Плакат достижений». Если малыш удачно справился, отметить это дело веселой наклейкой напротив даты или дня недели в таком плакате-календаре. Либо позволить малышу выбрать самому поощрительную наклейку из набора.


















































