Виды ангиопатии сетчатки
Выделяют следующие типы заболевания:
- ангиопатия сетчатки по смешанному типу (одновременное проявление сразу нескольких заболеваний ведет к повреждениям сосудов сетчатки на фоне нарушения нервной регуляции);
- диабетическая ангиопатия (появляется на ранней стадии заболевания, при микроагниопатии становятся тонкими капилляры, что приводит к кровоизлияниям, при макроангиопатии поражаются крупные сосуды, что может спровоцировать их закупорку);
- атеросклеротическая ангиопатия (симптомы заболевания: затуманивание зрения, яркие вспышки, близорукость, дистрофия сетчатки);
- травматическая ангиопатия сетчатки;
- гипертоническая ангиопатия;
- гипотоническая;
- ангиопатия при беременности;
- юношеская ангиопатия.
Признаки диабетической ретинопатии
На первой и зачастую второй стадиях заболевания пациент может не замечать никаких проявлений болезни. Лишь на третьем, пролиферативном этапе, дают о себе знать первые признаки патологии: ухудшение сумеречного зрения (куриная слепота), размытость, искажение очертаний предметов. Вот почему при наличии диабета 1 или 2 типа осмотры у окулиста должны являться обязательными — минимум раз в полгода.

С помощью приборов врач увидит изменения в глазном дне, когда сам пациент еще не будет испытывать никакого дискомфорта. Ранняя диагностика очень важна для успешного лечения заболевания.
Симптомы диабетической ретинопатии обычно наступают друг за другом в определенном порядке:
- просветы сосудов расширяются, в очаги воспаления прилипают Т-лейкоциты;
- нарушения обмена веществ приводят к увеличению кровотока;
- поражается эндотелий кровеносных сосудов;
- капилляры закупориваются, повышается их проницаемость;
- образуются микроаневризмы (выпячивания стенок сосудов и капилляров);
- наступает неоваскуляризация — разрастание капилляров на тех участках, где их быть не должно;
- в глазу начинаются кровоизлияния, так как стенки новообразованных сосудов очень хрупкие и не выдерживают давления увеличившегося кровотока;
- часть капилляров разрушается, и происходит дегенерация сосудов глаза.
Эти процессы постепенно приводят к нарастающему возникновению кровоизлияний, кислородному голоданию сетчатки, отеку макулы и постепенной дегенерации ткани.
Диагностика
Диагностировать в первую очередь нужно заболевание, приведшее к развитию ангиопатии сетчатки. Основной метод обследования – это офтальмоскопия. При этом изучается поверхностная структура глаза с помощью офтальмоскопа.
При флюоресцентной ангиографии глазного дна в кровеносные сосуды вводится светящее рентгеноконтрастное вещество, полностью безопасное для организма.

Электроретинография – метод, позволяющий обнаружить малейшие изменения биоэлектрической активности сетчатки на фоне ухудшения ее кровопитания. Дополнительным методом обследования является периметрия – диагностическое обследование, замеряющее поле зрения пациента.
Методы лечения и их эффективность
Если заболевание не поддается оптической коррекции из-за сложности или запущенности, после излечения амблиопии назначают операцию.
Дальнозоркий астигматизм поддается успешному лечению хирургическими методами:
- При лазерной термокератопластике форма поверхности роговицы подвергается изменениям: точечным методом при помощи лазера наносят ожоги в периферической области роговицы, в результате чего происходит сокращение коллагеновых волокон и форма поверхности роговицы корректируется в нужную сторону.
- При термокератокоагуляции точечные ожоги наносятся тонкой иглой из металла, разогретой до определенной температуры.
- Лазерный кератомилез на сегодняшний день является самым эффективным и безопасным методом хирургии в области коррекции оптических дефектов. Эксимерный лазер успешно применяют уже два десятка лет, он выпаривает ткани нужной толщины с поверхностного слоя роговицы, изменяя ее форму и степень кривизны.
Сложный дальнозоркий астигматизм – довольно серьезная патология, требующая длительной коррекции, но современные технологии позволяют избавиться от проблемы навсегда и восстановить полноценное зрение.
Методы лечения ангиопатии сетчатки глаза
Медикаментозная терапия помогает снять выраженные симптомы состояния и предупредить дальнейшие нарушения в сосудистой оболочке глаза. В офтальмологии прибегают к нескольким группам препаратов:
- антиагреганты – медикаменты для разжижения крови и ликвидацию тромбов;
- метаболические – для улучшения кровотока и обмена веществ;
- витамины группы В, А, С;
- средства для укрепления стенок сосудов.
Наряду с перечисленными медикаментами подбираются препараты в зависимости от разновидности ангиопатии. При гипертонической форме ведущая роль отводится средствам для снижения артериального давления. Лечение диабетической ретинопатии невозможно без сахароснижающих препаратов. При гипотонической форме назначаются лекарства для улучшения сосудистого тонуса.
Хорошие результаты дают физиотерапевтические методы: лазерное воздействие, магнитотерапия, иглорефлексотерапия. Схема лечения включает массаж воротниковой зоны, внутривенные капельные влияния, внутримышечные или парабульбарные инъекции.
При тяжелых формах ретинопатии прибегают к лазерной коагуляции сетчатки. Операция заключается в запаивании сосудов, вызывающих отечность. Лазерные «штрихи» проходят по поверхности сетчатки, не затрагивая зону фоторецепторов. В результате сетчатка становится менее зависимой от измененных сосудов, не справляющихся с доставкой кислорода, макула получает больше питания, зрение улучшается.
Стадии диабетической ретинопатии
В течении заболевания выделяют три стадии, принятые ВОЗ в 1992 году:
- непролиферативная, или начальная;
- препролиферативная;
- пролиферативная.
Для каждой из них характерны свои симптомы. Рассмотрим подробнее, в чем они выражаются.
1. Непролиферативная. Для первого этапа развития диабетической ретинопатии характерны точечные кровоизлияния, микроаневризмы, возникающие вследствие хрупкости и ломкости сосудов, экссудативные очаги, макулярный отек сетчатки. При этом на протяжении нескольких лет зрение может оставаться стабильным, и пациент не будет подозревать о наличии у него заболевания.
2. Препролиферативная. На второй стадии ретинопатии при сахарном диабете, которая нередко развивается у пациентов, страдающих миопией, признаки поражения глазной внутренней оболочки более заметны. Наблюдается умеренное ухудшение остроты зрения. Из-за кислородного голодания сетчатки существует риск ее геморрагического инфаркта. Также присутствует большое количество кровяных сгустков в сетчатке.
3. Пролиферативная. На третьей стадии, пролиферативной, в результате нарушения кровоснабжения сетчатой оболочки происходит обширное ее поражение с распространением патологического процесса на роговицу. Развивается неоваскуляризация, образование фиброзной ткани. Стенки новых сосудов весьма хрупкие, поэтому кровь просачивается через них, вызывая повторные кровоизлияния, способствующие отслойке сетчатки. Из-за новообразованных сосудов радужки часто развивается вторичная глаукома. Макулярный отек становится выраженным и способен привести к частичной потере зрения. Пациенту становится трудно читать, мелкие предметы он почти не различает, очертания объектов становятся нечеткими.
Также выделяется и четвертая стадия — терминальная, когда повреждения в сетчатке уже необратимы. Это последний этап ретинопатии, который диагностируется в 2% случаев. В таких ситуациях у пациента наступает слепота.
Причины ангиопатии сетчатки
Частое повышение давления губительно действует на сетчатку глаза, поражая стенки сосудов изнутри. Стенки сосудов утолщаются, фибротизируются. Нарушается циркуляция крови, образуются тромбы, начинают лопаться сосуды на глазах, что может привести к кровоизлиянию в сетчатку. Характерный признак гипертонической ангиопатии – узкие извитые сосуды глазного дна.
Сахарный диабет, вернее постоянный избыток глюкозы в крови, приводит к воспалению сосудистых стенок не только сетчатки, но и кровеносных сосудов всего организма. При сахарном диабете происходит просачивание крови в ткань сетчатки, утолщаются стенки капилляров, уменьшается диаметр сосудов, замедляется скорость кровотока. Все это может привести к частичной потере зрения.
Пониженное давление способствует расширению сосудов сетчатки и снижению их тонуса. Поэтому скорость кровотока замедляется, образуются тромбы, повышается проницаемость стенок сосудов. При ангиопатии сетчатки, вызванной гипотонией, пациенты часто жалуются на сильную пульсацию глазных сосудов.
Травмы глаз, черепа и позвоночника также могут привести к поражению сосудов глаза. При длительном сдавливании грудной клетки или шеи повышается внутричерепное давление, что в свою очередь негативно сказывается на сосудах глаз. Сильные травмы чаще всего приводят к разрыву сосудистых стенок сетчатки и появлению кровоизлияний в глазу.
До сих пор не ясно до конца, при каких условиях начинается юношеская ангиопатия. Частые проявления данной патологии – воспалительный процесс в сосудах и кровоизлияния в сетчатку. Это приводит к глаукоме, катаракте, отслоению сетчатки и, в конце концов, к слепоте.
Атеросклеротические процессы в организме провоцируют формирование атеросклеротических бляшек в сосудах и сужение просвета в капиллярах. При недостаточности кровотока все органы и ткани испытывают недостаток кислорода, развивается ишемия. Давление в сосудах сильно повышается, что может привести к их разрыву.
Факторы, способствующие ангиопатии сетчатки:
- острое и хроническое отравление;
- некоторые болезни кроветворной системы;
- вредные привычки (курение, алкоголизм);
- пожилой возраст;
- остеохондроз;
- врожденные аномалии стенок сосудов;
- системные васкулиты;
- беременность.

1
Строение глаза и глазного яблока

2
Диагностика и лечение склерита

3
Лечение склерита
Определение и классификация
Под ретинопатией понимаются патологические изменения в строении и функционировании ретинальных сосудов внутренней оболочки глаза (сетчатки) невоспалительного характера. Патология является следствием нарушенного кровоснабжения сосудистой сетки в силу ряда неблагоприятных факторов различного происхождения. Ретинопатия глаз опасна тяжелыми необратимыми процессами, приводящими к атрофии зрительного нерва и полной слепоте.
Исходя из первопричин, заболевание подразделяется на 3 категории:
-
первичная, не связанная с воспалением;
-
вторичная (фоновая), являющаяся следствием имеющейся системной патологии других органов;
-
ретинопатия недоношенных.
Что такое сахарный диабет?

Сахарный диабет — это заболевание эндокринной системы, при котором повышается допустимый уровень сахара (глюкозы) в крови. Такое состояние называется гипергликемия.
В этой статье
Происходит это из-за того, что организм вырабатывает недостаточно инсулина при диабете. Инсулин — гормон, который синтезируют бета-клетки поджелудочной железы. Они реагируют на повышенное содержание глюкозы и отправляют определенное количество инсулина для снижения ее уровня в крови. При диабете нарушается обмен веществ всех видов: углеводный, водно-солевой, белковый и прочие.
В последние годы происходит неуклонный рост числа больных сахарным диабетом. В России на 2019 год зарегистрировано более 3,7 млн. больных с этим диагнозом. Однако по данным Международной диабетической федерации реальное количество пациентов достигает 12 млн. человек. Половина пациентов даже не догадываются о своем заболевании. А ведь если его вовремя не начать лечить, оно приводит к тяжелым последствиям для здоровья. Одно из них — диабетическая ретинопатия.
Симптомы
Общие признаки детской ангиопатии такие:
- малозаметные кровоизлияния в глазах;
- снижение остроты зрения, особенно вдаль;
- утрата зрения в одном или обоих глазах;
- носовое кровотечение;
- появление крови в моче;
- болевые ощущения в области нижних конечностей;
- зуд в глазах;
- появление пелены перед глазами;
- все окружающие предметы кажутся размытыми;
- возникают вспышки яркого света перед глазами.
При ангиопатиях, связанных с изменением артериального давления, у старших детей возможно появление таких симптомов:
- выраженное беспокойство;
- усталость во время просмотра телепередач или чтения книг;
- у ребенка возникает желание тереть глаза;
- появление красных пятен (они свидетельствуют о том, что мелкие сосуды лопнули);
- появление пятен на глазных яблоках;
- ребенок предъявляет жалобы на молнии, «мушки» перед глазами и прочие явления;
- кровотечение из носа.
Симптомы ВМД
Классические признаки макулодистрофии при сухом типе появляются довольно поздно, в случае влажной ВМД симптомы выявляются практически сразу. Среди них:
-
видимое искажение прямых (стены дома изгибаются, волнистый бордюр и пр.);
-
резкое снижение остроты зрения (бывает как в одном глазу, так и в двух);
-
текст в привычных книгах кажется размытым;
-
необходимость яркого освещения при мелкой работе или чтении;
-
резкое падение радиуса видимости в сумраке;
-
проблемы с узнаванием лиц;
-
все краски кажутся блеклыми.
В случае появления 2 и более вышеперечисленных симптомов необходимо незамедлительно обратиться к окулисту для осмотра и диагностики.
Причины возникновения болезни
На сегодняшний день точные причины развития макулярной дистрофии сетчатки все еще не известны. Достоверно известно только то, что при заболевании истощаются клетки макулярной зоны, страдает центральное зрение без потери качества периферического, а подвержены ему в основном люди в возрасте.
Среди факторов, способствующих развитию недуга, помимо возраста фигурируют:
- раса (как показывает статистика, от болезни чаще страдают представители европеоидной расы);
- пол (среди женщин распространенность больше);
- наследственная предрасположенность (риск развития ВМД возрастает минимум в три раза, если болезнь обнаружена у кого-то из родственников первой линии);
- наличие сердечнососудистых патологий (наличие атеросклероза повышает риск в три раза, а гипертонии – в семь);
- пристрастие к курению (значимость этого фактора однозначно подтверждена во всех исследованиях);
- частое прямое воздействие солнечных лучей;
- привычка неправильно питаться (особенно сказывается потребление насыщенных жиров и холестерина);
- светлый цвет радужки;
- наличие катаракты ядерного типа (даже если была проведена операция по поводу катаракты, ВМД может развиться быстрее).
Диагностика диабетической ретинопатии
При диагнозе «сахарный диабет» нужно проходить обследование у офтальмолога чаще, чем здоровые люди — хотя бы два раза в год. Как мы сказали выше, первые признаки ретинопатии становятся заметны уже на последних стадиях. Ранняя диагностика поможет выявить изменения в глазном дне и своевременно заняться лечением патологии.
Вот какие процедуры проводит специалист с целью исследовать состояние глазных структур.
- Опрос пациента и визометрия — проверка остроты зрения с помощью таблиц Сивцева-Головина.
- Тонометрия — измерение внутриглазного давления (особенно у пациентов со стажем заболевания более 10 лет).
- Офтальмоскопия — осмотр глазного дна.
- Биомикроскопия сетчатки, хрусталика, стекловидного тела.
- Ретинография — фотографирование сетчатки специальной камерой.
- Инструментальный осмотр зрительного нерва, макулы.
- При выявлении помутнения какие-либо оптических сред — стекловидного тела, хрусталика, роговицы — назначается УЗИ сетчатки.
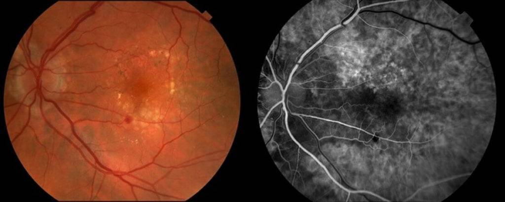
- Оптическая когерентная томография. Этот способ позволяет получить снимки глазных структур настолько высокого разрешения, что на них можно рассмотреть самые тонкие слои тканей толщиной в 1 мкм.

- Флуоресцентная ангиография.
- Периметрия.
При необходимости также назначается диагностика у других специалистов, в частности, у эндокринолога, поскольку диабет входит в группу эндокринных заболеваний. После сбора анамнеза и получения всех результатов исследований специалист принимает решение о методе лечения в зависимости от состояния глаз.
Оперативное вмешательство при макулодистрофии
Альтернативой медикаментозным средствам при влажной форме недуга служит лечение с помощью лазера. Процедуру выполняют в том случае, если консервативное лечение оказалось недостаточно эффективным, или если необходимо остановить кровотечение из поврежденных сосудов ретины.
Лазерное лечение пациентам с ВМД сегодня назначают с большой осторожностью. При проведении процедуры можно травмировать окружающие ткани интенсивным тепловым воздействием, что негативно скажется на состоянии пациента
Процедура лазеротерапии зарекомендовала себя, не столько как способ улучшения зрения при макулодистрофии, сколько как способ остановить быструю его потерю. Наиболее эффективным лазерное лечение считается в том случае, если кровотечения локализуются на отдалении от центральной части желтого пятна. Вероятность рецидивов при использовании этого метода терапии довольно высока.
Классификация
В зависимости от факторов выделяют такие разновидности ангиопатии сетчатки:
- Диабетическая. Она присуща детям, страдающим сахарным диабетом первого типа. Лечение болезни достаточно сложное из-за прогрессирования поражения сетчатки.
- Травматическая. Такая ангиопатия является следствием травм во время родов, ушибов грудной клетки, головы, живота. У детей эта форма патологии является наиболее распространенной.
- Гипертоническая. Эта форма ангиопатии встречается из-за гипертонической болезни. У детей она протекает чаще всего в злокачественной форме и вызывает стойкое нарушение кровообращения глаза. Венозные сосуды становятся более извитыми, их просвет увеличивается. Артериальные же сосуды становятся более тонкими и хрупкими. Из-за гипертонии повышается риск кровоизлияния в сетчатку.
- Гипотоническая. Ангиопатия развивается в результате стойкого понижения артериального давления. Тонус сосудов становится пониженным, их просвет расширяется.
- Юношеская, или синдром Илза. При этом заболевании вены в глазном дне воспаляются. Заболевание опасно тем, что сетчатка и стекловидное тело постепенно замещается фиброзной тканью. Это наиболее опасный вид поражения сетчатки. В старшем возрасте синдром Илза вызывает глаукому – стойкое повышение внутриглазного давление, катаракту (помутнение хрусталика). Этиология и патогенез синдрома Илза окончательно не изучены.

Лечение
Лечение макулодистрофии сетчатки можно выполнять либо с помощью консервативных методик, либо оперативно.
Если у больного диагностирована сухая форма болезни, рекомендуется консервативная терапия. В каждом случае лечащий врач подбирает лекарственные средства индивидуально. Могут назначаться:
- медикаменты с селеном и цинком (Адрузен, например);
- антиоксидантные средства (Эмоксипин, Токоферол);
- сосудосуживающие средства в виде капель (Трентал, Кавинтон и др.).
Однако все эти средства лишь замедляют процессы, но не лечат само заболевание
В связи с этим офтальмологи рекомендуют большее внимание удалять профилактике недуга.. Пациентам с влажной формой заболевания назначаются ингибиторы роста новых сосудов (Луцентис, Авастин)
Эти препараты вводятся с помощью инъекций непосредственно в сетчатку. Помимо замедления роста новых сосудов лекарства помогают снять отечность, что позволяет улучшить общее состояние пациента, сохранить его зрение.
Пациентам с влажной формой заболевания назначаются ингибиторы роста новых сосудов (Луцентис, Авастин). Эти препараты вводятся с помощью инъекций непосредственно в сетчатку. Помимо замедления роста новых сосудов лекарства помогают снять отечность, что позволяет улучшить общее состояние пациента, сохранить его зрение.
| Выбор лекарственных препаратов всегда осуществляется лечащим врачом. |
Самостоятельным подбором медикаментов заниматься не рекомендуется, так как это может привести к нежелательным реакциям и ухудшению общего состояния.
Первичная ретинопатия
Заболевания, объединённые в эту группу, имеют идиопатическую природу возникновения и самостоятельный механизм развития.
Центральная серозная ретинопатия
Это офтальмонарушение связано с появлением и локализацией субретинальной жидкости под центральным радиусом сетчатки (макулой) на пути фокусировки светового луча. Возникновение жидкости – результат серозного отслоения пигментного эпителия в области макулы. Характерными признаками являются также присутствие преципитатов и отрицательный фовеальный рефлекс.
Такая ретинопатия глаз чаще всего встречается у мужчин до 40 лет без соматических патологий, однако, подверженных мигреням, эмоциональным стрессам. Клиническая картина выражается в затуманенности видения, появлении белесых пятен. Не редко также оптически неверное восприятие форм, цветов и размеров предметов, а также расстояния до них. При отсутствии должного лечения симптоматика и генез расстройства будут усугубляться, что может привести к отслойке сетчатки.
Острая многофокусная пигментная ретинопатия
Патология выражается в обнаружении множественных очаговых образований четкой формы кремового оттенка с последующей депигментацией сначала в районе макулы, а затем по всей периферии сетчатки. При этом наблюдается деформация, отечность капиллярной сетки, зрительного нерва.
Симптомы появляются в обоих глазах в виде помутнения витреума, появлении скотом, нередко иридоциклита, эписклерита. Болезнь поражает, в основном, молодых людей, ранее перенесших вирусную инфекцию.
Наружная экссудативная ретинопатия
Болезнь носит односторонний характер. Патогенез связан с концентрацией в субретинальных областях периферии сетчатки экссудата, кристаллов холестерина, геморрагий – результата кровоизлияний патологически деформированных сосудов. Пациент сталкивается с нечеткостью видения, «пеленой» перед глазами. Ситуация усугубляется фотопсией, явлением движущихся точек, узоров.
Ретинопатия глаз такого типа опасна тяжелыми последствиями – отслойкой сетчатки, глаукомой.
Диагностика ангиоспазма сетчатки глаза
Анамнестические данные, результаты визуального осмотра в совокупности с дополнительными методами диагностики позволяют офтальмологу установить в качестве диагноза ангиоспазм сосудов сетчатки. В перечне исследований в рамках обнаружения патологии выделяют:
- Офтальмоскопию. Изучив глазное дно, врач визуально определяет резкое сужение вен в сетчатке. Сосуды при этом полнокровны, но просматривается несколько отечный, имеющий бледно-розовый цвет диск зрительного нерва. Фовеолярный рефлекс, как и макулярный, не диагностируются во время ангиоспазма.
- ОКТ. Во время сканирования центральной части сетчатки видно утолщение. При этом фовеолярное углубление сильно сглажено, а реактивность сетчатки снижена, в то время как форма кривой является атипично прямой.
- Метод бесконтактной тонометрии. Во время приступа специалист наблюдает небольшое повышение ВГД (внутриглазного давления), а после его купирования — нормализацию офтальмотонуса.
- Ангиография. Врач-окулист визуализирует изменения, имеющие место в ретинальных сосудах. Диагностика происходит в рамках изучения особенностей циркулирования флуоресцеина. При ангиоспазме внутренний гематоретинальный барьер для контраста сохраняет непроницаемость.

Диетотерапия при макулярной дегенерации
| Исследования подтверждают, что соблюдение здоровой диеты и прием витаминных добавок способны значительно замедлить прогрессирование ВМД. |
Остановить дегенеративные процессы сетчатки и даже значительно улучшить состояние пациента поможет особая диета, богатая антиоксидантами, витаминами и микроэлементами. Ее основу должны составлять следующие продукты питания с различными вариациями:
-
свежие фрукты (дыня, киви, черные сорта винограда);
-
сухофрукты (особенно сушеный абрикос);
-
орехи;
-
сырые овощи без термообработки (шпинат, кабачок, все сорта капусты, помидоры, фасоль, салат всех сортов, морковь, тыква и редька);
-
жирные сорта рыбы.
Макулодистрофия: характеристика заболевания
Зона макулы или желтого пятна располагается в самом центре ретины. В норме в ней отсутствуют кровеносные сосуды, а питание и газообмен происходят благодаря очень тонким капиллярам, которые расположены не в светочувствительном слое, а снаружи от него.
Чем старше человек, тем больше различных продуктов обмена веществ и шлаков откладывается между макулой и капиллярами, которые ее питают. Чтобы скомпенсировать недостаток кислорода и питательных веществ, ретина вынуждена медленно выращивать собственные сосуды, по которым кровь будет поступать к ней в достаточном объеме. Но полноценные сосуды вырасти в оболочке не могут, что и приводит к кровоизлияниям из-за их ломкости. В результате вместо того, чтобы питание тканей улучшилось, оно только ухудшается, так как очаги кровоизлияний, как и отложения продуктов обмена веществ, становятся помехой для нормальных обменных процессов.
Макулодистрофия – заболевание людей в возрасте, из-за чего ее также называют возрастной макулодистрофией (ВМД). Она диагностируется у людей младше 45 лет лишь в исключительных случаях. Зато ее можно обнаружить у 2% людей, чей возраст уже пересек отметку в 50 лет. По мере увеличения возраста риск заболеть лишь возрастает. Так, к 60 годам он равен уже 10%, а к 70 поднимается до 30%. После 75 признаки обнаруживаются у каждого третьего пациента!
Что происходит со зрением при диабетической ретинопатии?
Сетчатка — очень сложная и чувствительная структура глаза. Она состоит из 10 слоев и содержит светочувствительные фоторецепторы — палочки и колбочки, отвечающие за цветное, дневное и сумеречное зрение. Неудивительно, что любая патология сетчатой оболочки приводит к негативным последствиям для здоровья глаз. При наличии сахарного диабета зрительные функции начинают страдать только по прошествии нескольких лет, когда диабетическая ретинопатия переходит во вторую и третью стадии. Вот какие симптомы при этом наблюдаются:
- «мушки» в глазах — помутнения, особенно заметные на светлом фоне;
- размытость изображения, двоение;
- неправильное восприятие формы и размеров объектов, их цветности, искривление прямых линий;
- появление «молний» и вспышек в глазах;
- в поле зрения появляются скотомы, или слепые участки, то есть выпадают фрагменты видимой картинки.
У больных сахарным диабетом, по сравнению со здоровыми людьми, риск полной потери зрения выше в целых 25 раз! Не зря диабетическая ретинопатия стоит на втором месте по причинам слепоты в мире. Это также один из основных факторов, приводящих к инвалидности и потере зрения среди населения в наиболее трудоспособном возрасте — от 25 до 65 лет.

Снижение остроты зрения при диабетической ретинопатии происходит по трем основным причинам.
- Из-за макулярного отека или ишемии макулы страдает центральное зрение.
- Кровоизлияния в сетчатку или стекловидное тело способствуют резкому ухудшению резкости зрения. Обычно такое состояние наступает при пролиферативной ретинопатии.
- Разрастание и сокращение соединительной ткани приводит к отслойке сетчатки, в результате чего наступает потеря зрения.
Профилактика
Поскольку дистрофия – процесс, который сложно не только остановить, но и повернуть вспять, людям рекомендуется сосредотачивать внимание на профилактике. Чтобы снизить вероятность с возрастом столкнуться с ВМД, рекомендуется:
- отказаться от курения, так как это пристрастие бьет, в первую очередь, именно по сосудам, включая сосуды глаз;
- использовать в солнечную погоду специальные солнцезащитные очки, шляпы или кепки с большими полями, дающими глазам тень;
- в больших количествах потреблять капусту, шпинат и другие овощи и фрукты;
- под контролем врача дополнительно принимать витамины, если в пище отмечается их недостаток;
- регулярно посвящать время занятиям физкультурой, так как спорт благотворно влияет на весь организм в целом;
- стоит взять за правило регулярные посещения офтальмолога в профилактических целях (так врач сможет своевременно заметить негативные изменения и дать рекомендации относительно их коррекции).
Макулодистрофия – заболевание, при котором сохраняется периферическое зрение, а потому полная слепота больному не грозит, если у него нет сопутствующих патологий глаз. Однако недуг значительно снижает качество жизни, лишая человека возможности читать, выполнять мелкую работу. Даже если больной не лишается этих возможностей полностью, появляются значительные затруднения. Именно ради сохранения высокого качества жизни пациентам рекомендуется обращаться к врачу при первых же подозрительных симптомах!
Ретинопатия при заболеваниях крови
Болезни крови, в том числе анемия, полицитемия, лейкоз и др., способны привести к развитию ретинопатии. При этом клиническая картина болезни заметно отличается от протекания других форм данного недуга. Это зависит от того, на фоне какой именно патологии крови стали наблюдаться изменения сосудов сетчатки. Так, при полицитемии (доброкачественном опухолевом процессе) глазное дно становится ярко-красным, особенно краснеют вены сетчатой оболочки. Наблюдаются признаки тромбоза сосудов и отека диска зрительного нерва.

При анемии (низком содержании в крови эритроцитов) глазное дно под офтальмоскопом отличается бледностью, а сосуды патологически расширены. Происходят частые кровоизлияния под сетчатку или в стекловидное тело, что приводит к ее/его отслойке.
Ретинопатия, возникшая на фоне лейкоза (рака крови), сопровождается разрастанием сосудов. Они извитые и хрупкие, а потому часто лопаются, что вызывает геморрагии. Внутренняя оболочка и диск зрительного нерва отекают.
Лечение фоновых ретинопатий при патологиях крови основано на терапии основного недуга и своевременном проведении лазерной коагуляции. Но зачастую прогноз исхода заболевания является неблагоприятным.
















































